کامپوزیت دندان شیشه ای (Glass-based Composite) نسل جدیدی از مواد ترمیمی دندانی است که با هدف بهبود نتایج زیبایی و عملکردی نسبت به کامپوزیتهای سنتی طراحی شده است. این نوع کامپوزیتها از ترکیب یک ماتریکس رزینی پیشرفته با فیلرهای معدنی حاوی ذرات بسیار ریز شیشهای ساخته میشوند که معمولاً شامل سیلیکای تقویتشده، بوروسیلیکات یا گلس سرامیکها هستند.
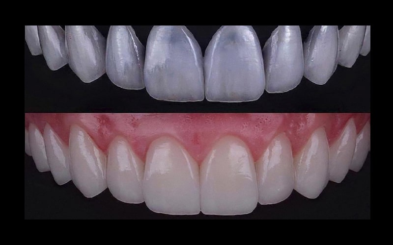
ویژگی بارز کامپوزیتهای شیشهای، ترنسلوسنسی (translucency) بالا و ضریب شکست نوری نزدیک به مینای دندان است که باعث میشود این مواد در نور محیط بهطور طبیعی بدرخشند و بهسختی از دندان طبیعی قابل تشخیص باشند. این ویژگی آنها را به گزینهای ایدهآل برای بازسازی نواحی قدامی و اصلاح طرح لبخند تبدیل میکند.از نظر ساختاری، استفاده از نانوذرات شیشهای موجب افزایش مقاومت مکانیکی، بهبود چسبندگی به بافت دندانی و کاهش احتمال ترکخوردگی و سایش میشود.این ترکیب باعث شده تا کامپوزیتهای شیشهای، نهتنها در حوزه دندانپزشکی زیبایی، بلکه در ترمیمهای طولانیمدت نیز جایگاه ویژهای پیدا کنند.
ویژگی های کامپوزیت دندان شیشه ای
- ترنسلوسنسی (Translucency) بالا:کامپوزیتهای شیشهای دارای توانایی عبور نور مشابه مینای طبیعی دندان هستند. این ویژگی باعث میشود ترمیمها در نور طبیعی کاملاً هماهنگ با دندانهای مجاور به نظر برسند و ظاهری طبیعی و زیباشناختی ایجاد شود.
- ضریب شکست نوری نزدیک به مینای دندان:ذرات شیشهای مورد استفاده در این کامپوزیتها ضریب شکستی مشابه مینای دندان دارند. این ویژگی موجب ایجاد هارمونی نوری میان ماده ترمیمی و ساختار دندان شده و از ایجاد ظاهر مصنوعی جلوگیری میکند.
- محتوای فیلر بالا با اندازه ذرات نانومتری:استفاده از نانوذرات شیشهای موجب افزایش استحکام، کاهش انقباض پلیمریزاسیون، و افزایش مقاومت در برابر ترکخوردگی میشود. این فیلرهای ریز باعث صافتر شدن سطح نهایی و پولیشپذیری بالاتر نیز هستند.
- پایداری رنگ و مقاومت در برابر تغییر رنگ (Stain Resistance):ساختار شیمیایی این کامپوزیتها به گونهای طراحی شده که نفوذ رنگدانهها به درون ماده کاهش مییابد، بنابراین حتی در بلندمدت نیز رنگ آنها تغییر محسوسی نمیکند.
همچنین بخوانید: آیا برای کامپوزیت دندان را تراش می دهند؟
- سازگاری بیولوژیک بالا (Biocompatibility):ذرات شیشهای فعالشده در این کامپوزیتها باعث کاهش تحریک لثه و پاسخ ایمنی موضعی میشوند. به همین دلیل برای استفاده در نواحی حاشیه لثه نیز مناسب هستند.
- پولیشپذیری عالی:بهدلیل بافت یکنواخت و اندازه ذرات فیلر، سطح نهایی این کامپوزیتها بهراحتی صیقلی میشود که نهتنها زیبایی ترمیم را افزایش میدهد، بلکه باعث کاهش تجمع پلاک نیز میشود.
- مقاومت بالا در برابر سایش (Wear Resistance):کامپوزیتهای شیشهای، بهویژه انواع حاوی فیلرهای سرامیکی، در برابر نیروهای جویدن و سایش مکانیکی مقاومت بالایی از خود نشان میدهند، که آنها را برای ترمیمهای بادوام مناسب میسازد.
مزایای کامپوزیت شیشه ای
- زیبایی و شباهت به دندان طبیعی:بهدلیل ضریب شکست نوری مشابه با مینای دندان و ترنسلوسنسی بالا، این نوع کامپوزیت جلوهای بسیار طبیعی و شفاف ایجاد میکند که به سختی از دندان واقعی قابل تشخیص است.
- پولیشپذیری بالا:ساختار یکنواخت و ذرات شیشهای ریز به کار رفته در این کامپوزیت، اجازه میدهد سطح نهایی ترمیم کاملاً صاف و براق شود. این موضوع علاوه بر افزایش زیبایی، تجمع پلاک و رنگپذیری را نیز کاهش میدهد.
- مقاومت به سایش و استحکام بالا:ترکیب ماتریکس رزینی پیشرفته با فیلرهای شیشهای موجب افزایش مقاومت مکانیکی در برابر فشارهای جویدن و سایش روزمره میشود، که برای ماندگاری ترمیم بسیار حیاتی است.
- پایداری رنگ در طول زمان:این نوع کامپوزیت ها نسبت به نفوذ رنگدانهها و تغییر رنگ مقاوماند، بنابراین برخلاف برخی کامپوزیتهای ارزانتر، در درازمدت ظاهر اولیه خود را حفظ می کنند.
بیشتر بخوانید:قیمت کامپوزیت دندان
- سازگاری با بافتهای دهانی:ترکیبات بهکاررفته در کامپوزیتهای شیشهای فاقد مواد تحریککننده هستند و واکنشهای آلرژیک یا التهابی در بافت لثه یا دهان ایجاد نمیکنند.
- چسبندگی مناسب به ساختار دندان:این کامپوزیتها با استفاده از باندینگهای مدرن، چسبندگی قابل اعتمادی به مینای دندان و عاج ایجاد میکنند که خطر جدا شدن ترمیم را کاهش میدهد.
- امکان ترمیم و اصلاح آسان:در صورت آسیبدیدگی یا نیاز به اصلاح، کامپوزیتهای شیشهای بهراحتی قابل ترمیم یا ترمیم مجدد هستند، بدون نیاز به برداشت کامل ماده پیشین.
- مناسب برای نواحی قدامی:به دلیل زیبایی بصری بسیار بالا، این نوع کامپوزیت انتخابی ایدهآل برای بازسازی دندانهای جلو، طراحی لبخند، و اصلاح ناهنجاریهای ظاهری محسوب میشود.
معایب و چالش های کامپوزیت دندان شیشه ای
- هزینه بالاتر نسبت به کامپوزیتهای معمولی:به دلیل فناوری پیشرفتهتر، مواد اولیه با کیفیت بالاتر و زمانبر بودن مراحل اجرای دقیق، هزینه نهایی درمان با کامپوزیت شیشهای نسبت به کامپوزیتهای سنتی بیشتر است و ممکن است برای برخی بیماران محدودیت مالی ایجاد کند.
- تکنیکسنسیتیویتی بالا (وابستگی به مهارت دندانپزشک):این نوع کامپوزیت نیازمند مهارت بالا، دقت در لایهگذاری، کنترل نوردهی و اجرای دقیق مرحله به مرحله است. هرگونه خطا در اجرای تکنیکی میتواند منجر به نتایج نامطلوب از نظر زیبایی یا دوام شود.
- محدودیت در ترمیم نواحی خلفی تحت فشار شدید:علیرغم مقاومت بالا، این نوع کامپوزیت برای نواحی با فشار جویدن بسیار زیاد (مانند دندانهای آسیای بزرگ) توصیه نمیشود مگر با طراحی صحیح و رعایت اصول محافظهکارانه، چرا که احتمال سایش یا ترکخوردگی در بلندمدت وجود دارد.
- حساسیت به رطوبت در حین اجرا:مانند سایر کامپوزیتها، تماس با بزاق یا رطوبت در مراحل آمادهسازی یا باندینگ میتواند چسبندگی را کاهش دهد و موجب افت کیفیت ترمیم شود. کنترل رطوبت دهانی یک پیشنیاز حیاتی در موفقیت این روش است.
برای اطلاعات بیشتر:مراقبت های بعد از کامپوزیت دندان
- لزوم مراقبتهای دقیق پس از درمان:برای حفظ درخشش، ماندگاری رنگ و جلوگیری از لبپریدگی، نیاز است که بیمار بهداشت دهان را بهخوبی رعایت کند، از عادات مخرب (مانند جویدن اجسام سخت) پرهیز کند و مراجعات منظم به دندانپزشک داشته باشد.
- عدم توصیه در بیماران با عادات پارافانکشنال:در افرادی که دچار دندانقروچه (براکسیسم) یا فشردن مداوم دندانها هستند، احتمال شکست ترمیم یا لبپریدگی بیشتر است و نیاز به استفاده از نایتگارد یا جایگزینهای مقاومتر مانند سرامیک وجود دارد.
تفاوت کامپوزیت شیشه ای با سایر روش های ترمیمی
کامپوزیت شیشهای بهعنوان یکی از پیشرفتهترین مواد ترمیمی معرفی شده است که هم از نظر زیبایی و هم از نظر عملکرد بالینی، تفاوتهای قابلتوجهی با سایر روشهای ترمیمی مانند کامپوزیتهای رزینی سنتی و ونیرهای سرامیکی دارد.
در مقایسه با کامپوزیتهای معمولی، کامپوزیت شیشهای از ذرات فیلر شیشهای بسیار ریز و ماتریکس رزینی اصلاح شده بهره می برد که موجب بهبود خواص نوری مانند شفافیت، ترنسلوسنسی و ضریب شکست نزدیک به مینای دندان میشود. این ویژگیها باعث میشوند ترمیمهای حاصل از آن از نظر ظاهری بسیار طبیعیتر جلوه کنند. همچنین، مقاومت به سایش، پایداری رنگ، و قابلیت پولیشپذیری در این نوع کامپوزیت نسبت به انواع سنتی بهمراتب بهتر است، هرچند اجرای آن نیاز به مهارت و تکنیک دقیقتری دارد.
بیشتر بخوانید: برندهای کامپوزیت دندان
در مقایسه با ونیرهای سرامیکی، کامپوزیت شیشهای یک روش کمتر تهاجمی و قابل بازگشت محسوب میشود، زیرا اغلب نیاز به تراش مینای دندان ندارد و در صورت بروز آسیب یا لبپریدگی، امکان ترمیم مستقیم آن در مطب وجود دارد. از سوی دیگر، ونیرهای سرامیکی بهدلیل جنس سرامیکی و فرآیند لابراتواری، از نظر مقاومت مکانیکی در سطح بالاتری قرار دارند و ثبات رنگ آنها در بلندمدت بیشتر است، اما هزینه بالاتر، زمان بیشتر برای آمادهسازی، و نیاز به تراش بیشتر دندان از جمله نقاط ضعف آنها بهشمار میرود.
در مجموع، انتخاب بین این روشها باید با در نظر گرفتن فاکتورهایی مانند خواستههای زیبایی بیمار، وضعیت دندانهای زمینه، شرایط اقتصادی، و عادات دهانی صورت گیرد. کامپوزیت شیشهای، با تلفیق فناوری نوین و زیبایی طبیعی، گزینهای ایدهآل برای بسیاری از بیماران بهویژه در نواحی قدامی محسوب میشود.
طول عمر کامپوزیت های شیشه ای چقدر است؟
کامپوزیتهای شیشهای، بهدلیل ترکیب ساختاری پیشرفته و خواص فیزیکی بهبودیافته، معمولاً تا ۱۰ سال دوام دارند، و در شرایط ایدهآل (اجرای صحیح، بهداشت مناسب، عدم وجود عادات مضر مانند دندانقروچه) این مدت میتواند به ۱۵ سال یا بیشتر نیز برسد. در مقایسه با کامپوزیتهای رزینی سنتی، این نوع کامپوزیتها مقاومت بیشتری در برابر سایش، لبپریدگی و تغییر رنگ دارند. همچنین بهدلیل پولیشپذیری بالا، سطح صافتری ایجاد میکنند که به کاهش تجمع پلاک و پایداری بیشتر در بلندمدت کمک میکند.
با این حال، ماندگاری نهایی به عواملی چون:
- رعایت بهداشت دهان و دندان توسط بیمار،
- انجام ویزیتهای دورهای جهت چکاپ و پالیش مجدد،
- پرهیز از مصرف خوراکیهای رنگزا و سفت،
مطالعه کنید: تفاوت لمینت و کامپوزیت دندان
- و استفاده از محافظ شبانه در صورت وجود براکسیسم بستگی مستقیم دارد.
در صورت آسیبدیدگی، این ترمیمها قابل بازسازی یا تعویض هستند، اما برای حفظ نتایج طولانیمدت، انتخاب دندانپزشک ماهر و مراقبت آگاهانه از سوی بیمار بسیار حیاتی است.
روش انجام کامپوزیت شیشهای دندان
فرآیند انجام کامپوزیت شیشهای، مشابه با سایر کامپوزیتهای زیبایی، اما با حساسیت بیشتر به تکنیک و دقت بالاتر در جزئیات انجام میشود. این روش معمولاً در یک جلسه انجام میگیرد و نیاز به بیحسی، تراش گسترده یا فرایندهای تهاجمی ندارد.
در ابتدا، معاینه کامل دهان و دندان انجام شده و ساختار دندان، رنگ طبیعی و ویژگیهای آناتومیکی بیمار بررسی میشود. گاهی از قالبگیری دیجیتال یا تصویربرداری برای طراحی لبخند کمک گرفته میشود. در مرحله آمادهسازی، سطح مینای دندان بهطور خفیف (و در بسیاری موارد بدون تراش) تمیز، خشک و در صورت نیاز خشنسازی (etching) میشود تا باندینگ قویتری برقرار گردد.
مطالعه کنید: بهترین رنگ کامپوزیت دندان
سپس از باندینگ مناسب برای اتصال شیمیایی کامپوزیت به دندان استفاده میشود. در این مرحله، ماده کامپوزیت شیشهای به صورت لایهلایه روی دندان قرار میگیرد. هر لایه با دقت بالا شکلدهی شده و سپس با نور مخصوص (نور آبی پلیمریزاسیون) سخت میشود. این لایهگذاری مرحلهای امکان کنترل دقیق رنگ، شکل، ضخامت و ترنسلوسنسی را فراهم میکند.
پس از تکمیل فرمدهی، نوبت به مرحله پالیش و پرداخت میرسد. با استفاده از ابزارهای ویژه، سطح ترمیم صیقلی شده و خطوط آناتومیک دندان بازسازی میشود تا هم از نظر زیبایی و هم از نظر عملکرد جویدن، کاملاً طبیعی و هماهنگ با سایر دندانها باشد.
مناسب چه کسانی است؟
- افرادی که رنگ دندانهای جلوییشان تغییر کرده
- کسانی که دندانهای شکسته یا لبپری دارند
- افرادی که بین دندانهایشان فاصله دارند (مثلاً دندانهای جلو)
- کسانی که میخواهند فرم یا طول دندانهایشان را اصلاح کنند
- کسانی که بهدنبال لبخندی طبیعی و بدون تراش زیاد دندان هستند
- افرادی که بهداشت دهان و دندان خوبی دارند
همچنین بخوانید: روکش دندان جلو + هزینه
- کسانی که عادت به دندانقروچه شدید ندارند
- کسانی که بهدنبال روش زیبا، سریع و اقتصادیتر از لمینت سرامیکیاند
نتیجه گیری:
کامپوزیت دندان شیشهای بهعنوان یکی از نوآورانهترین مواد در حوزه دندانپزشکی زیبایی، توانسته است تلفیقی از جلوه طبیعی، دوام مکانیکی، و تطابق نوری با بافت دندانی را در اختیار دندانپزشکان و بیماران قرار دهد. این ماده با ویژگیهایی چون ترنسلوسنسی بالا، مقاومت به سایش، و پولیشپذیری فوقالعاده، به گزینهای ایدهآل برای بازسازی دندانهای قدامی و طراحی لبخند تبدیل شده است.
هرچند اجرای صحیح این روش نیازمند مهارت بالای بالینی و رعایت دقیق مراحل فنی است، اما در صورت انتخاب درست بیمار و رعایت مراقبتهای پس از درمان، میتواند نتایجی ماندگار و رضایتبخش ارائه دهد. در مقایسه با روشهایی همچون کامپوزیت رزینی سنتی یا لمینت سرامیکی، کامپوزیت شیشهای توازنی منطقی بین زیبایی، محافظهکاری در ساختار دندان، و هزینه ارائه میکند.
در نهایت، میتوان گفت که کامپوزیتهای شیشهای، بهویژه در دنیای امروز که تقاضا برای ترمیمهای غیرتهاجمی و طبیعی رو به افزایش است، جایگاهی ویژه یافتهاند و آیندهای روشن در دندانپزشکی زیبایی خواهند داشت.













