روکش دندان درمانی موثر برای ترمیم و زیبایی دندانهاست و از آن برای محافظت از دندان و افزایش طول عمر آن، سفید کردن دندانها، ارتودنسی فوری، اصلاح شکستگی دندان و موارد دیگر استفاده می شود. رنگ روکش دندان گاهی اوقات پس از مدتی تغییر می کند یا دچار لکه می شود و یا گاهی نیز ممکن است ما بخواهیم رنگ آن را سفیدتر کنیم. قابلیت تغییر رنگ روکش دندان بستگی به این دارد که شما چه هدفی دارید و علت تغییر رنگ چیست. در اینجا با این موضوع بیشتر آشنا می شوید.
چه عواملی باعث زرد شدن یا ایجاد لکه در روکش دندان می شوند؟
زرد شدن و بدرنگی روکش دندان به دلایل مختلف تجربه می شود. راه حل این مشکل بستگی به این دارد که عامل آن چه بوده است:
- صدمه دیدن روکش
اگر روکش صدمه دیده باشد، دندان زیر آن ممکن است دچار عفونت شود چرا که در تماس با محیط دهان قرار می گیرد و ذرات موجود در محیط دهان از لا به لای بخش صدمه دیده روکش، به دندان می رسند. همچنین ممکن است ذرات موجود در دهان از ناحیه صدمه دیده روکش عبور کرده و بین روکش و دندان گیر کنند و باعث لکه یا زرد به نظر رسیدن روکش شوند. اگر می بینید روکش دچار لکه شده یا زرد شده است اما با مسواک زدن بهتر نمی شود ممکن است علت آن، همین امر باشد.
- اشتباه بصری
همیشه مشکل لکه در روکش، به این معنی نیست که واقعا چنین اتفاقی افتاده یا روکش صدمه دیده و ذرات موجود در دهان بین روکش و دندان گیر کرده اند بلکه میتواند علت آن صرفا اشتباه بصری باشد. اگر دندانهای اطراف روکش را سفید کنید، هماهنگی رنگ روکش با آنها بهم می خورد در نتیجه روکش که قبلا همرنگ دندانهای دیگر بوده، اکنون زردتر از آنهاست و شما تصور می کنید روکشتان زرد شده است. اگر به تازگی دندانهای خود را سفید کرده اید، احتمالا علت زردی یا تیرگی روکش دندانتان همین تفاوت رنگ است.
- از بین رفتن لعاب سرامیک
پوشش سرامیک یا پرسلین لمینت یا روکش دندان، لعاب خاصی دارد که باعث شفافیت و براق شدن دندان می شود. اگر لعاب از بین برود، روکش به مرور دچار لکه می شود. یکی از دلایل این وضعیت، برخی تجهیزاتی است که برای تمیز کردن دندانها در دندانپزشکی استفاده می شود. مثلا پولیش برقی (Prophy Jet) که برای تمیز کردن دندانها استفاده می شود، ترکیبی از آب و بی کربنات سدیم را به دندانها اسپری می کند. این کار در تمیز کردن دندانها بسیار موثر است اما باعث می شود لعاب روکش دندان خراب شود.
بیشتر بخوانید: بهترین متخصص روکش دندان در شهریار و اندیشه
- فلوراید درمانی
یکی دیگر از عوامل تغییر رنگ روکش دندان، برخی انواع فلوراید درمانی است. استفاده از فلوراید اسیدی می تواند باعث خراشیده شدن لعاب لمینت یا روکش شود. اگر ترمیم سرامیکی در دهان دارید و می خواهید فلوراید درمانی انجام بدهید، از دندانپزشک بخواهید از فلوراید خنثی برایتان استفاده کند.
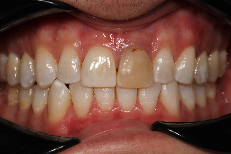
- نمایان شدن ترکیبات فلزی داخل ترمیم
یکی از شایعترین مشکلات روکش های سرامیکی – فلزی این است که ممکن است به دلیل پسروی لثه، اسکلت فلزی داخل روکش در مرز لثه نمایان شده و یک حاشیه خاکستری یا تیره ایجاد کند. این باعث می شود به نظر برسد دندان خراب شده یا تغییر رنگ داده است.
همچنین اگر دندانی که روکش شده را قبلا عصب کشی کرده اید یا با فلز پر کرده اید، ممکن است رنگ این مواد از پشت لایه سرامیکی روکش منعکس شده و باعث تیره تر به نظر رسیدن روکش شود.
بیشتر بخوانید: روکش دندان جلو + قیمت
- مصرف زیاد نوشیدنیها یا موادی که باعث لکه در دندانها می شوند.
اگر چه ترمیمهای سرامیکی دندان به تغییر رنگ مقاوم هستند، اما اگر دائما چیزهایی بخورید که باعث لکه دار شدن دندانها می شوند (مانند چای، قهوه، توت قرمز، شاتوت، انگور قرمز، نوشابه و غیره) یا سیگار بکشید، احتمال لکه دار شدن روکش یا لمینت بیشتر می شود. مصرف این مواد غذایی را محدود کنید و پس از هر بار خوردن، دهان خود را شستشو دهید.
اگر رنگ روکش تغییر کرده است چکار باید بکنم؟
اولین اقدام این است که عامل آن مشخص شود. پس از این که متوجه شدید چه چیزی باعث شده روکش تیره تر شود، در مورد عملکرد درست با مشورت دندانپزشک تصمیم گیری می کنید.
- اگر تیرگی یا زردی روکش به دلیل لکه و رنگدانه باشد، ممکن است با مسواک زدن مرتب و یا تمیز کاری حرفه ای نزد دندانپزشک، مشکل برطرف شود. این لکه ها معمولا نمی توانند به سطح سخت روکش نفوذ کنند و احتمالا با همین اقدامات برطرف می شوند.
- اگر آسیب دیدگی روکش عامل تغییر رنگ باشد، گاهی درمانهای تهاجمی تری لازم است. مثلا اگر روکش صدمه دیده و دندان زیر آن نیز در خطر قرار گرفته است باید روکش برداشته شود، دندان در صورت خرابی ترمیم شود و سپس روکش جدیدی جایگزین قبلی شود. گاهی اوقات لازم است دندان زیر روکش، جرمگیری شود و لکه های ایجاد شده در آن پاک شوند. در موارد شدیدتر دندان ممکن است دچار پوسیدگی قابل توجهی شده باشد و نیاز به عصب کشی دندان داشته باشد و یا حتی گاهی که دیر به داد آن می رسید ممکن است دندان به کل از بین رفته باشد و مرده باشد.
چگونه روکش دندان را سفید کنیم؟
اگر روکش به علت لکه های سطحی تیره شده باشد پولیش روکش موثر است، اما اگر تغییر رنگ در عمق روکش باشد تنها راه حل تعویض روکش است تا از نظر رنگی با سایر دندان ها کامل هماهنگ باشد. به علت نوع ساختار موادی روکش روش های سفید کننده مانند بلیچینگ یا کامپوزیت روی روکش تاثیری ندارد.
بیشتر بخوانید: شل شدن روکش ایمپلنت
هنگام انتخاب رنگ روکش، چه چیزهایی را باید در نظر داشته باشیم؟
رنگ روکش باید هماهنگ با رنگ دندانهای دیگر انتخاب شود تا مصنوعی و غیر واقعی به نظر نرسد.
عوامل دیگر مهم در انتخاب رنگ روکش دندان عبارتند از:
- رنگ پوست
- رنگ مو
- رنگ سفیدی چشمها
هنگام انتخاب رنگ روکش دندان، نظر دندانپزشک زیبایی را نیز جویا شوید چرا که او با معیارهای زیبایی دندانها و لبخند و چهره، آشنایی کامل دارد و تناسب بین رنگها و اشکال اجزاء دهان و صورت را می داند.
اگر قصد دارید دندانهایتان را با بلیچینگ دندان سفید کنید، ابتدا بلیچینگ را انجام بدهید و سپس برای لمینت یا روکش اقدام کنید تا بر اساس سفیدی نهایی دندانها، رنگ ترمیم را انتخاب کنید.









سلام خسته نباشی من چند وقت پیش جرم گیری لثه انجام دادم بهم دهانشویه دادن چنتا دندونام رنگ قهوه کمرنگ شدن از دهان شو یا نه؟ چیکار باید کنم
سلام وقت بخیر
بله احتمالا از مصرف زیاد دهانشویه است. فقط ۱۰ روز باید از دهانشویه استفاده کنید و تا یک ماه اصلا استفاده نکنید.
مصرف دهانشویه را قطع کنید و روزی دوبار مسواک بزنید.
سلام وقت به خیر من یکی از دندون هام نصفیش تغیر رنگ داده باید چیکار کرد
برم دکتر چه کاری انجام میده
سلام وقت بخیر
اگر منظورتان تاج اصلی دندان خودتان است احتمالا دندان از داخل دچار پوسیدگی شده است. در این صورت عصب کشی انجام می شود.
اما اگر منظور تغییر رنگ روکش دندان است باید پالیش شود.
سلام چهارتا دندون جلو بالارو میخوام روکش بزارم و به دندونام شماره a2 میخوره اما دکترم گفته یه درجه روشن تر یعنی a1 بزن برای اینکه با گذشت زمان امکان تغییر رنگ روکش وجود داره میخواستم بدونم تغییر زیادی بین دندونای بالا و پایینم ایجاد میشه و موقع صحبت کردن واضح هست؟؟؟
سلام وقت بخیر
بهتر است همرنگ دندانهایتان انتخاب کنید. درست است که روکش به مرور تغییر رنگ می دهد اما همزمان دندانها نیز تغییر رنگ می دهند که برای سفید کردن دوباره آنها باید پولیش روکش و دندانها را جرمگیری و یا بلیچینگ کنید.
خیر یک درجه تفاوت زیادی ایجاد نمی کند.
سلام وقت بخیر من به دو سال پیش دندون آسیب دیدم که تغییر رنگ داده بود روکش کردم ولی روکش هم به مرور زرد شد و من تمام دندون ها رو کامپوزیت کردم الان بعد از گذشت یک ماه همون دندونی که روکش بود یه مقدار بازم زرد شده مشکل از کجاست؟ دکتر روی همان روکش مواد کامپوزیت رو گذاشت
سلام وقت بخیر
کامپوزیت خاصیت رنگ پذیری دارد و بستگی به رژیم غذایی شما دارد که چه مدت بعد رنگ آن تغییر کند. اما اینکه می فرمایید فقط یک دندان زرد شده است باید حضوری مراجعه نمایید تا بررسی شود.
سلام من به مدت دوماهه فک بالارو روکش کردم الان متوحه شدم دوتا از دندونام دور روکش تیره هس ودندان اصلی خودم نمایان شده خیلی نگرانم چیکار باید کنم،دکترم میتونه دزستش کنه و اینکه اگه درستش کنه باز هزینه باید بدم؟
سلام وقت بخیر
متوجه منظورتان نشدم این تیرگی زیر روکش تازه بوجود آمده یا از ابتدا بوده است؟
روکش فلز و چینی یا همان روکش PFM از داخل یک لایه رنگ فلزی دیده می شود که یک هاله سیاه بر روی لثه بوجود می آورد و کاملا طبیعی است به خاطر فلز داخل روکش. اگر روکشتان pfm نیست و یا تازه سیاه شده است باید به پزشکتان اطلاع دهید.