در مورد دندان های خراب، آسیب دیده و شکسته شده، کشیدن دندان به تنهایی کافی نمی باشد. در برخی موارد، اگر فرد حتی قصد جایگزین کردن دندان با روش هایی مثل ایمپلنت را ندارد و می خواهد جای دندان خالی باشد، مانند زمانی که دندان ها در فشار هستند، نیاز به انجام اقدامات ثانویه بعد از کشیدن دندان وجود دارد. چرا که در صورت عدم پوشیده شدن استخوان فک بعد از کشیده شدن دندان، این قسمت در معرض دید و فضای بیرونی قرار می گیرد و به مرور زمان دچار تحلیل و از بین رفتن می شود. بیرون زدگی استخوان فک بعد از کشیدن دندان از جمله مشکلاتی است که در بحث دندانپزشکی وجود دارد و نیاز به درمان دارد. این مشکل که در اصطلاح با نام استئونکروز نیز شناخته می شود در صورت طولانی شدن عامل ONJ خواهد بود.
بیرون زدگی استخوان فک و در نتیجه ONJ برای چه افرادی رخ می دهد
بیرون زدگی استخوان فک و عواقب آن شامل تحلیل رفتن استخوان فک و همچنین ONJ محدود به کشیدن دندان نمی شود و در موارد دیگری از قبیل افراد مبتلا به عفونت استخوانی، افراد تحت درمان با اشعه ایکس، مصرف کنندگان داروهای ضد جذب، انجام امور دندانپزشکی مانند کشیدن دندان و ایمپلنت، افراد مصرف کننده دخانیات، افراد تحت درمان استروئیدی، افراد مبتلا به ویروس زونا، افراد مبتلا به دیابت و … نیز رخ می دهد.

بیرون زدگی استخوان فک ناشی از کشیدن دندان
یکی از شایع ترین عوامل بیرون زدن استخوان فک، کشیدن دندان در اثر آسیب های وارد شده به دندان ها مانند تصادف، شکسته شدن دندان، عفونت و خرابی دندان، ترک خوردن دندان و … می باشد. زمانی که دندان کشیده می شود، استخوان فک با محیط آزاد در تماس قرار می گیرد که در این شرایط باید مورد مراقبت و درمان قرار بگیرد.
زمانی که دندان کشیده می شود، دیواره های لثه و همچنین حفره ایجادی خالی می مانند. اگر حفره توسط بافت استخوانی و خون ناشی از استخوان ترمیم شود، مشکلی برای استخوان فک بوجود نمی آید. در مواردی که این ترمیم اتفاق نیفتد، استخوان در فضای آزاد قرار می گیرد. استخوانی که درون بافت نباشد، گردش خون خود را از دست می دهد و به مرور دچار تحلیل و تخریب می گردد. تخریب استخوان فک باعث می شود مواردی مانند ایمپلنت امکان پذیر نباشد و به مرور ظاهر فک فرد نیز دچار تغییر شود.
چرا بعداز کشیدن دندان استخوان فک دیده می شود؟
۱. عدم تشکیل یا از دست رفتن لخته خون
بعد از کشیدن دندان معمولاً در محل خالیشده یک لخته خون تشکیل میشود که نقش محافظتکننده از استخوان زیرین را دارد. اگر این لخته تشکیل نشود یا زود از بین برود، استخوان زیرین در معرض دید قرار میگیرد و ممکن است باعث درد و تاخیر در التیام شود.
۲. ترمیم نامناسب بافت لثه و تیزیهای استخوانی باقیمانده
در برخی موارد، حین کشیدن دندان، لبههای استخوانی تیز یا قطعات کوچک استخوان در محل باقی میمانند، و چون لثه بهدرستی روی آن ترمیم نمیشود، این استخوانها قابل مشاهده و لمس میشوند.
۳. فرآیند طبیعی ترمیم استخوان و لثه:
پس از کشیدن دندان، بدن باید حفره و استخوان اطراف را ترمیم کند. تا زمانی که این ترمیم کامل شود، بافت لثه ممکن است کامل استخوان را نپوشاند و بخشی از آن نمایان شود، بهخصوص در دندانهای پیچیده مثل دندان عقل.
۴. شرایط خاص و عوارض نادر:
در موارد نادر، مشکلاتی مثل استئونکروز فک (مرگ استخوان) یا عفونت استخوان میتوانند باعث شوند بخشهایی از استخوان برای مدت طولانی در معرض دهان بماند و درمان تخصصی لازم داشته باشد.
علت احساس تیزی بعد از کشیدن دندان
۱. لبه های تیز استخوان فک پس از کشیدن دندان
در برخی موارد، بهویژه زمانی که کشیدن دندان سخت یا جراحی بوده (مثل دندان عقل)، لبه های استخوان فک صاف نمی شوند و بهصورت تیز باقی میمانند. این لبهها میتوانند تا زمان ترمیم کامل لثه احساس تیزی ایجاد کنند.
۲. تحلیل لثه در روند ترمیم
پس از کشیدن دندان، لثه بهمرور جمع میشود و ترمیم پیدا میکند. در این فرآیند، ممکن است بخشهایی از استخوان که قبلاً پوشیده بودهاند، بهطور موقت نمایان شوند و بیمار احساس تیزی داشته باشد.
۳. باقی ماندن قطعات کوچک استخوان
بعد از کشیدن دندان، ممکن است تکههای بسیار کوچک استخوانی در محل باقی بمانند یا در حین ترمیم به سطح لثه نزدیک شوند. این قطعات که به آنها Bone Spicules گفته میشود، باعث احساس تیزی، زبری یا حتی خراش در لثه یا زبان میشوند.
۴. خارج شدن تدریجی استخوان اضافه توسط بدن
بدن در روند ترمیم، گاهی استخوانهای اضافی یا مرده را به سمت سطح لثه هدایت میکند تا دفع شوند. این فرآیند طبیعی میتواند با احساس جسم سخت یا نوکتیز همراه باشد.
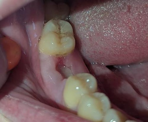
عکس استخوان فک بعد از کشیدن دندان






درد استخوان فک بعد از کشیدن دندان
یکی از عوارض نسبتاً شایع پس از درمانهای دندانپزشکی است که معمولاً بهدلیل التهاب استخوان اطراف محل کشیدن، فشار حین خارج کردن دندان، یا از بین رفتن لخته خون محافظ ایجاد میشود. در برخی موارد، باقی ماندن لبههای تیز استخوان یا قطعات کوچک استخوانی میتواند باعث تحریک بافت و ایجاد درد شود. همچنین عارضهای به نام «درای ساکت» (Dry Socket) که در آن استخوان بدون پوشش لخته خون باقی میماند، از دلایل مهم درد شدید و مداوم استخوان فک محسوب میشود. این درد معمولاً موقتی است، اما در صورت تداوم، افزایش شدت یا همراهی با علائمی مانند تورم و ترشح، نیاز به بررسی و درمان دندانپزشکی دارد.
شکستن استخوان فک هنگام کشیدن دندان
شکستن استخوان فک هنگام کشیدن دندان یک عارضه نادر اما جدی است که معمولاً در کشیدن دندانهای نهفته، دندان عقل، یا در افرادی با استخوان فک ضعیفتر (مانند سالمندان یا بیماران مبتلا به پوکی استخوان) رخ میدهد. اعمال نیروی زیاد حین کشیدن دندان، عفونتهای مزمن اطراف ریشه، یا کاهش تراکم استخوان میتواند خطر بروز این مشکل را افزایش دهد. شکستگی فک معمولاً با علائمی مانند درد شدید، تورم قابل توجه، اختلال در باز و بسته کردن دهان یا تغییر در قرارگیری دندانها همراه است و نیاز به تشخیص سریع و درمان تخصصی توسط جراح فک و صورت دارد.
نشانه های تحلیل استخوان فک ناشی از کشیدن دندان
این بیماری به صورت ناگهانی و یک مرتبه اتفاق نمی افتد، به همین خاطر در خیلی موارد فرد حتی متوجه ابتلا به آن نمی شود. به صورت تدریجی بافت استخوان بیرون زده از فک، تحلیل می رود و تغییر شکل پیدا می کند. متخصص دندانپزشکی می تواند به کمک عکس های رادیوگرافی این موضوع را تشخیص دهد. برخی از نشانه های تحلیل استخوان فک عبارتند از :
- تغییر جهت دندان ها و حرکت آنها به سمت جلو
- تغییر فرم حالت دهان و چانه
- ایجاد چین و چروک در کناره ها و اطراف لب
- تغییر رنگ چانه به تیرگی
- زیاد شدن حفره های درون دهان و باقی ماندن آنها برای طولانی مدت
- احساس دردهای موضعی در اطراف صورت بخصوص ناحیه فک ها
- ایجاد مشکل در صحبت کردن و غذا خوردن
این علایم می تواند ناشی از مشکلات دیگری نیز باشد و برای اطلاع دقیق از وضعیت بیرون زدگی استخوان ناشی از کشیدن دندان و تحلیل رفتن استخوان فک، نیاز است به متخصص مراجعه نمایید.

روش های درمان بیرون زدگی استخوان فک پس از کشیدن دندان
۱. جراحی اصلاحی
در مواردی که بیرونزدگی استخوان محسوس و باعث ناراحتی شود، دندانپزشک با جراحی اصلاحی استخوان اضافی را تراش میدهد تا شکل طبیعی استخوان بازگردد و لثه بتواند بهتر ترمیم شود.
۲. استفاده از پروتز یا ایمپلنت
برای پر کردن جای خالی دندان و جلوگیری از تحلیل استخوان، پزشک میتواند از پروتز یا ایمپلنت استفاده کند؛ این روشها ظاهر و عملکرد دهان را بهبود داده و به حفظ استخوان کمک میکنند.
۳. لیزر درمانی
لیزر درمانی روشی کمتهاجمی است که برای برش و اصلاح بافت نرم و استخوان بهکار میرود. این روش با کاهش خونریزی و تورم میتواند روند ترمیم را سریعتر و راحتتر کند.
۴. پیوند استخوان
در مواردی که تحلیل استخوان زیاد باشد یا نیاز به بازسازی داشته باشد، ممکن است پزشک پیوند استخوان را برای تقویت و بازسازی ناحیه آسیبدیده توصیه کند.
۵. استفاده از مواد پرکننده و ترمیم کننده بافت
برای حمایت از ترمیم لثه و استخوان، از مواد ترمیمکننده و پرکننده بافت در محل میتوان استفاده کرد تا از عفونت جلوگیری شود و زمینه بهبودی بهتر فراهم گردد.
جلوگیری از بیرون زدن استخوان فک بر اثر کشیدن دندان
توجه و مراقبت از حفره ایجاد شده در دهان بر اثر کشیدن دندان، می تواند مانع بیرون زدگی استخوان فک باشد. اولین قدم بررسی وضعیت حفره توسط متخصص است. در مواردی که متخصص تشخیص دهد وضعیت حفره ایجادی خطر زا است و امکان ترمیم آن وجود ندارد، باید از مواد پر کننده استخوانی و بخیه جراحی استفاده کند. در حالت معمول نیز با قرار دادن گاز روی محل حفره، از بیمار می خواهد که به مدت یک ساعت گاز را در محل مورد نظر ثابت نگه دارد و آن را جابجا یا عوض نکند.
در حالت طبیعی برای ترمیم حفره ایجاد شده، لخته خون های ناشی از بافت استخوانی روند درمان را ایجاد می کنند. این لخته خون ها بسیار حساس هستند و در صورت بی توجهی ممکن است از محل خود خارج شوند یا دچار آسیب گردند. در نتیجه هم درد محل کشیدن دندان افزایش می یابد و هم اینکه عصب های استخوانی دیگر پوشیده نخواهند بود. لازم است به خوبی از این حفره مراقبت شود تا لثه مطابق با سایر قسمت ها و به صورت تراز بر روی بافت فک ترمیم یابد.
بیشتر بخوانید: چه مدت بعد از کشیدن دندان میتوان ایمپلنت کاشت
در روز اول بعد از کشیدن دندان، آب دهان را نباید به بیرون تف کرد، در چنین شرایطی بهتر است آب دهان را قورت داد. بیرون تف کردن آب دهان، احتمال فشار به لخته خونی درون حفره را ایجاد می کند و به آن آسیب می زند.
در مورد بهداشت دهان در این شرایط نیز، محل حفره حتی با مسواک نرم نباید تمیز گردد و به شستن دهان با آب ولرم اکتفا کنید، نقاط دیگر دهان را می توانید مسواک کنید. البته در ۲۴ ساعت اول بعد از کشیدن دندان، شستن دهان و مسواک زدن، نباید انجام شود.
از خوردن خوراکی ها و غذاهای سفت تا ترمیم کامل محل حفره خود داری کنید.
مواردی مانند سیگار کشیدن، استفاده از نی یا فشار آوردن به لب ها نیز می تواند عامل آسیب به بافت حفره دندان باشد.
از مکمل هایی مانند کلسیم و ویتامین D نیز استفاده کنید.

ایمپلنت بلافاصله بعد از کشیدن دندان
اگر نیاز است بلافاصله بعد از کشیدن دندان، ایمپلنت انجام شود، باید ابتدا پیشگیری های لازم در زمینه بیرون زدگی استخوان فک و تحلیل آن انجام شود. معمولا متخصصین در این شرایط با کمک پودر استخوان، عمل ترمیم را سرعت می بخشند. ممبرین کلاژن نیز دیگر موردی است که باعث جلوگیری از تحلیل استخوان فک می گردد و امکان انجام سریعتر ایمپلنت را فراهم می کند. نوع ایمپلنتی که پزشک استفاده می کند بسیار به شرایط لثه و استخوان بستگی دارد. برای اطلاعات بیشتر از تقسیم انواع ایمپلنت بر اساس شرایط لثه و استخوان به صفحه زیر مراجعه کنید:
در صورتی که فردی دچار تحلیل استخوان در ناحیه فک شده باشد، امکان انجام ایمپلنت دندان بدون ترمیم وجود ندارد. ابتدا با روش های درمانی گفته شده از جمله پیوند استخوانی باید ترمیم فک انجام شود و زمانی که فک به حالت طبیعی خود برگشت، عمل ایمپلنت انجام شود.
جلوگیری از بیرون زدن استخوان فک بر اثر کشیدن دندان
- رعایت کامل دستورات بعد از کشیدن دندان
- عدم شستوشوی شدید دهان در ۲۴ ساعت اول
- پرهیز از مکیدن، تف کردن و استفاده از نی
- خودداری از سیگار و قلیان
- حفظ لخته خون در محل کشیدن دندان
- رعایت بهداشت دهان بدون آسیب به زخم
- مصرف داروهای تجویزی طبق دستور دندانپزشک
- مراجعه منظم برای معاینه در صورت احساس تیزی یا درد
عفونت استخوان فک بعد از کشیدن دندان
عفونت استخوان فک یا استئومیلیت فک یک عارضه نسبتاً نادر اما جدی است که زمانی رخ میدهد که باکتریها پس از کشیدن دندان وارد استخوان فک شوند. این عارضه معمولاً در اثر عفونت درماننشده، ضعف سیستم ایمنی، بهداشت نامناسب دهان یا باقی ماندن بافت عفونی در محل کشیدن دندان ایجاد میشود و در صورت عدم درمان میتواند باعث تخریب استخوان شود.
Researchers think fewer than 25 per 100,000 people experience osteomyelitis each year
پژوهشگران معتقدند که سالانه کمتر از ۲۵ نفر از هر ۱۰۰٬۰۰۰ نفر به استئومیلیت (عفونت استخوان) مبتلا می شوند. my.clevelandclinic.org
علائم عفونت استخوان فک بعد از کشیدن دندان
علائم این عارضه ممکن است تدریجی یا ناگهانی ظاهر شوند و شامل موارد زیر هستند:
- درد شدید و مداوم در فک که با گذشت زمان کاهش نمییابد
- تورم لثه، صورت یا فک
- قرمزی و التهاب ناحیه اطراف محل کشیدن دندان
- خروج ترشح چرکی یا بوی بد دهان
- تب و احساس ناخوشی عمومی
- لق شدن دندانهای مجاور
- تأخیر در بهبود زخم یا نمایان شدن استخوان فک
در موارد پیشرفته، ممکن است بخشهایی از استخوان دچار آسیب یا نکروز شوند.
روش های درمان عفونت استخوان فک
درمان عفونت استخوان فک بسته به شدت بیماری متفاوت است و معمولاً شامل ترکیبی از روشهای زیر میشود:
۱. درمان دارویی
مصرف آنتیبیوتیکهای قوی و طولانیمدت (خوراکی یا تزریقی) برای کنترل و از بین بردن عفونت باکتریایی ضروری است. انتخاب دارو بر اساس نوع باکتری و شدت عفونت انجام میشود.
۲. تخلیه عفونت و تمیز کردن ناحیه
در صورت وجود چرک یا بافت عفونی، دندانپزشک یا جراح فک اقدام به تخلیه عفونت و پاکسازی استخوان میکند تا از گسترش عفونت جلوگیری شود.
۳.جراحی و برداشت استخوان عفونی
در موارد شدید یا مزمن، ممکن است نیاز به برداشتن بخشهای عفونی یا مرده استخوان باشد تا بافت سالم بتواند ترمیم شود.
سوالات متداول
آیا بیرون زدگی استخوان فک بعد از کشیدن دندان خطرناک است؟
در بیشتر موارد خطرناک نیست و بخشی از روند طبیعی ترمیم محسوب میشود، اما اگر با درد شدید، التهاب یا عدم بهبود همراه باشد، نیاز به بررسی دندانپزشک دارد.
بیرون آمدن استخوان بعد از کشیدن دندان چقدر طول می کشد تا خوب شود؟
در حالت طبیعی، طی چند هفته با ترمیم لثه برطرف میشود؛ اما در برخی موارد ممکن است نیاز به مداخله درمانی داشته باشد.
آیا احساس تیزی بعد از کشیدن دندان طبیعی است؟
بله، این احساس معمولاً به دلیل باقی ماندن قطعات کوچک استخوانی یا لبههای تیز استخوان فک ایجاد میشود و اغلب موقتی است.
چه زمانی باید برای بیرون زدگی استخوان فک به دندان پزشک مراجعه کرد؟
در صورت ادامهدار شدن درد، مشاهده استخوان برای مدت طولانی، ترشح چرک، تورم یا بوی بد دهان باید حتماً مراجعه انجام شود.
آیا بیرون زدگی استخوان فک خودبه خود درمان می شود؟
در بسیاری از موارد خفیف، بله؛ اما موارد شدید یا همراه با عفونت نیاز به درمان تخصصی دارند.
تفاوت بیرون زدگی استخوان با درای ساکت چیست؟
درای ساکت به دلیل از بین رفتن لخته خون ایجاد میشود و با درد شدید همراه است، در حالی که بیرونزدگی استخوان معمولاً به دلیل نمایان شدن یا باقی ماندن استخوان رخ میدهد.
آیا عفونت استخوان فک بعد از کشیدن دندان شایع است؟
خیر، عفونت استخوان فک (استئومیلیت) نادر است، اما در صورت بروز نیاز به درمان فوری دارد.








با عرض سلام دندون کشیدم طرف بالا کنار دندان عقل بالا الان جلو آینه دیدم یچیز سفیدی مث استخون پیداست ترسیدم ریشه باشه ولی ریشه نیست یمقدار پهن دردم نداره اگه استخون فک باشه مشکلی داره یا خودش خوب میشه بیرون نزده ولی پیداست نگرانم کرده ممنون میشم راهنمایی کنید
سلام وقت بخیر
اگر این استخوان نمایان شده لبه های تیز نداشته باشه و باعث درد یا ناراحتی نشود، معمولاً خود به خود خوب میشه
اما اگر لبه های تیز داشته باشد یا باعث درد و ناراحتی شود، بهتره به دندانپزشک مراجعه کنید.
سلام وقتتون بخیر. من حدود ۲ ماه میشه که دندون عقل پایینم رو کشیدم؛ و مشکلی نداشتم.
الآن یکی دو روزه یه مقدار اونجا احساس درد میکردم و وقتی دقت کردم دیدم یچیز تیز و ریز انگار کنار لثهاش زده بیرون. از اول هم البته بود این ولی محلش نداده بودم!
وقتی زبون میزنم اصلا تیز نیست و اذیت نمیکنه منتهی غذا که میخورم برخی اوقات، یه مقدار درد میگیره. بخصوص غذای نسبتا سفت. دست هم میزنم درد میگیره البته.
آیا خود به خود ترمیم میشه این؟
متشکر از پاسخگوییتون.
سلام وقت بخیر
به علت اینکه ۲ ماه گذشته بهتر است به دندانپزشک برای تشخیص دقیق مراجعه کنید.
سلام من دندون عقل فک بالامو کشیدم بخیه خورد یکی دو روز بعدش حس میکردم جفت دندونم ی تیکه اضافه هست علتش چیه؟
سلام وقت بخیر
این حالت طبیعیست. استخوان بین دندانی است که به مرور تحلیل می رود.
اگر تیز است و برنده و یا باعث آزارتان می شود به پزشکتان بگویید کمی سطح آن را تراش دهند.
ممنون و سپاس بخاطر وقتی ک برای مردم میذارید ممنون از اینهمه لطف و محبت شما🌹🌹
سلام ریشه دندان عقل را با استخوان بزرگی از اطراف و زیر ریشه دندان درآوردند. ریشه دندان در میان استخوان هست،استخوان دوباره بازسازی میشود؟
سلام وقت بخیر
بله استخوان فک، خود را بازسازی میکند.