| موضوع | توضیحات کوتاه و کاربردی |
| تعریف گوشت اضافه لثه (هیپرپلازی) | رشد غیرطبیعی و بیش از حد بافت لثه که معمولاً بهصورت برجستگی نرم، قرمز یا همرنگ لثه دیده میشود. |
| مهمترین علتها | ۱. التهاب و تجمع پلاک (شایعترین علت) ۲. مصرف داروهای خاص (ضد تشنج، سرکوبکننده ایمنی، مسدودکننده کانال کلسیم) ۳. تغییرات هورمونی (بلوغ، بارداری) ۴. بیماریها (دیابت، لوسمی، کمبود ویتامینها) ۵. عوامل ارثی ۶. ارتودنسی ۷. تحریک ناشی از دندان مصنوعی نامناسب |
| علائم اصلی | تورم لثه، رشد بافت اضافی، قرمزی، خونریزی هنگام مسواک، سختی در جویدن، گیر غذایی، تغییر ظاهر خط لثه. |
| گوشت اضافه در کودکان | معمولاً به دلیل بهداشت ضعیف، داروهای ضد تشنج، بیماری ارثی فیبروماتوز لثه. |
| گوشت اضافه در ارتودنسی | ناشی از تجمع پلاک اطراف براکتها، تحریک مکانیکی، واکنش آلرژیک به فلزات. |
| بعد از ایمپلنت یا کشیدن دندان | معمولاً به دلیل التهاب، پلاک، عفونت، واکنش بدن به ایمپلنت یا مصرف برخی داروها. |
| گوشت اضافه لثه در اثر دندان مصنوعی | ناشی از تحریک و ساییدگی مداوم پروتزهای لق (ترومای مزمن). |
| درمانهای اصلی | ۱. بهبود بهداشت دهان (مسواک، نخ، جرمگیری) ۲. اصلاح یا تغییر داروها با مشورت پزشک ۳. جراحی (ژنژیوکتومی، لیزر، جراحی فلپ) ۴. درمان علتهای زمینهای. |
| درمان خانگی مکمل | آبنمک، دهانشویه ضدعفونی، آلوئهورا، روغن نارگیل، اصلاح رژیم غذایی، ترک سیگار (تنها کمککننده، نه درمان قطعی). |
| آیا خطرناک است؟ | معمولاً خطرناک نیست اما اگر درمان نشود میتواند باعث التهاب شدید، گیر غذایی، بوی بد دهان و مشکلات لثه شود. |
| آیا میتواند برگردد؟ | بله، اگر علت اصلی (پلاک، دارو، بیماری) رفع نشود احتمال عود وجود دارد. |
| بهترین زمان مراجعه به دندانپزشک | هنگام خونریزی مداوم، رشد سریع بافت، درد، بوی بد دهان، تورم شدید یا مشاهده گوشت اضافه اطراف ایمپلنت/ارتودنسی. |
گوشت اضافه در لثه چیست و چرا بوجود می آید؟
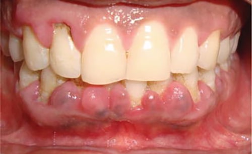
گوشت اضافه لثه (پاپیلوم لثه یا هیپرپلازی لثه) به رشد بیش از حد بافت لثه در یک نقطه از دهان گفته میشود. این برآمدگی معمولاً کوچک، نرم و قرمز یا همرنگ لثه است و اغلب بدون درد است، اما در برخی موارد میتواند هنگام مسواک زدن یا جویدن باعث ناراحتی و خونریزی شود.
این وضعیت در واقع به معنی افزایش غیرطبیعی تعداد سلولها یا افزایش حجم بافت لثه است که باعث میشود لثه متورم، بزرگ و گاهی اوقات روی بخشی از دندانها را بپوشاند.
بزرگ شدن لثه یک بیماری نیست، بلکه نشانه ای از یک مشکل زمینه ای است. شایع ترین علت بوجود آمدن آن بهداشت ضعیف دهان و دندان است؛ تجمع پلاک و جرم باعث التهاب لثه (ژنژیویت) و تورم آن میشود که به صورت گوشت اضافه دیده میشود.
علت دیگر مصرف برخی داروهاست که میتواند رشد بیش از حد لثه ایجاد کند، مانند داروهای ضد تشنج، سرکوبکنندههای سیستم ایمنی و مسدودکنندههای کانال کلسیم. در این موارد باید با پزشک و دندانپزشک هماهنگی شود تا دوز یا نوع دارو بررسی شود و درمان لثه آغاز گردد.
همچنین عوامل دیگری مثل تغییرات هورمونی در بارداری یا بلوغ، برخی بیماریهای زمینهای مانند لوسمی یا کمبود ویتامینها و عوامل ژنتیکی نادر میتوانند باعث بزرگ شدن لثه شوند.
علت گوشت اضافه اوردن لثه (هیپرپلازی لثه)
چند دلیل اصلی برای گوشت اضافه در لثه وجود دارد: عوامل التهابی، ناشی از مصرف دارو، ارثی و بیماریهای خاص.
- التهابی: التهاب لثه شایعترین دلیل هیپرپلازی لثه است. التهاب مزمن نقش مهمی در به وجود آمدن گوشت اضافه در لثه دارد. التهاب زمانی رخ میدهد که پلاک (بقایای غذا و باکتریها) روی دندانها جمع شود. پلاک در نتیجه عدم رعایت بهداشت دهان و دندان ایجاد میشود. لثههای تحت تاثیر این عارضه اغلب حساس، نرم، قرمز هستند و به راحتی خونریزی میکنند. خوشبختانه، این عارضه با اقدامات مؤثر بهداشت دهان و دندان (مسواک زدن، نخ دندان کشیدن) و جرمگیری در مطب برطرف میشود.
- ناشی از دارو: برخی از داروهای تجویز شده برای میگرن، تشنج، اختلالات خودایمنی و بیماریهای قلبی عروقی باعث رشد بیش از حد بافت لثه شده و در نهایت منجر به به هیپرپلازی لثه میشوند. این داروها با روند طبیعی گردش سلولی در لثه تداخل کرده و منجر به رشد بیش از حد بافت میشود.
- ارثی: هیپرپلازی لثه یکی از بسیاری از بیماریهای دهان و دندان است که میتواند با وراثت مرتبط باشد. فیبروماتوز ارثی لثه (HGF) نوعی بیماری ارثی نادر است که معمولا در دوران کودکی بروز میکند. لثهها به تدریج در بالای دندانها در خط لثه رشد میکنند.
- تغییرات هورمونی: در دوران بارداری، بلوغ یا تغییرات هورمونی، پاسخ لثه به تحریکات بیشتر شده و تورم و گوشت اضافه ایجاد میشود.
- بیماریها و کمبود مواد مغذی: برخی بیماریها مثل لوسمی یا کمبود ویتامینها میتوانند باعث تورم و رشد غیرطبیعی لثه شوند.
- ارتودنسی: وجود براکت و سیم ارتودنسی، بهخصوص در صورت عدم رعایت بهداشت، میتواند باعث تجمع پلاک و رشد اضافه لثه شود.
لازم به ذکر است که سایر علل کمتر شایع هیپرپلازی لثه مانند تغییرات هورمونی در دوران بارداری یا بلوغ و برخی بیماری های سیستمیک مانند لوسمی و بیماری کرون وجود دارد. بیماریهای خاص مانند دیابت، اچ آی وی (ایدز) و کمخونی نیز ممکن است باعث هیپرپلازی لثه شوند.
عکس گوشت اضافه در دهان




درمان گوشت اضافه لثه
هر مشکلی که در سلامت دهان و دندان پیش میآید باید به سرعت درمان شود، زیرا سلامت دهان با سلامت بدن ارتباط تنگاتنگی دارد. گوشت اضافه در لثه یک مشکل جدی دندانی است. شما باید فورا به دنبال درمان دندانپزشکی باشید.
متن انگلیسی:
“Treating gingival hyperplasia often depends on the underlying cause. In many cases, improved oral hygiene can prevent or improve symptoms and resolve this condition. However, if gum overgrowth is a product of medication or disease, doctors may recommend surgery.”
ترجمه فارسی: «درمان هیپرپلازی لثه اغلب به علت زمینهای بستگی دارد. در بسیاری از موارد، بهبود بهداشت دهان و دندان می تواند باعث برطرف شدن علائم و بهبود وضعیت شود. با این حال، اگر رشد بیش از حد لثه ناشی از دارو یا بیماری باشد، پزشکان ممکن است جراحی را توصیه کنند.»
به نقل از سایت healthline
در ادامه به مهمترین روش های درمانی هیپرپلازی لثه اشاره می کنیم:
- حفظ بهداشت دهان و دندان: حفظ یک روال بهداشتی مناسب برای دهان و دندان می تواند از بسیاری از مشکلات دندانی جلوگیری کند، زیرا یک اقدام احتیاطی همیشه بهتر از درمان است. مسواک زدن مداوم، نخ دندان کشیدن و جرمگیری حرفه ای میتواند به کاهش التهاب کمک کند. معاینات منظم دندانپزشکی و جرمگیری توسط دندانپزشک میتواند از تشکیل پلاک، که احتمالا بزرگترین عامل رشد بیش از حد لثه است، جلوگیری کند.
- تنظیم مصرف داروهای خاص: داروها یکی دیگر از دلایل ایجاد هیپرپلازی لثه هستند. بنابراین، اگر برای هر مشکلی تحت درمان هستید و داروهایی مانند داروهای ضد تشنج، سرکوب کننده های سیستم ایمنی یا مسدودکننده های کانال کلسیم مصرف می کنید، با پزشک متخصص خود مشورت کنید و ببینید آیا امکان جایگزینی داروها وجود دارد یا نه.
بیشتر بخوانید: جراحی دندان شکسته
- جراحی: روشهای جراحی خاصی نیز برای درمان رشد بیش از حد لثه وجود دارد. ژنژیوکتومی، جراحی فلپ پریودنتال، کانتورینگ لثه و لیزر درمانی از جمله مهمترین روشهای جراحی برای برداشتن گوشت اضافه در لثه میباشند که در ادامه مطلب بیشتر درباره آنها شرح میدهیم.
گوشت اضافه لثه دندان مصنوعی
علت گوشت اضافه لثه در اثر استفاده از دندان مصنوعی ترومای مزمن است. این بافت اضافی معمولا به دلیل ناپایداری پروتز ایجاد میشود. با گذشت زمان، پروتزهای مصنوعی به دلیل تحلیل استخوان، شل شده و تکان میخورند. همین لغزش باعث ساییده شدن لثه و ایجاد هیپرپلازی لثه میشود.
متن انگلیسی:
“Denture-induced hyperplasia is a reactionary lesion to ill-fitting dentures. It is mostly asymptomatic, but the patient may present pain in case of ulceration.”
ترجمه فارسی: «هیپرپلازی ناشی از دندان مصنوعی یک ضایعه واکنشی به دندان مصنوعی نامناسب است. اغلب بدون علامت است، اما در صورت ایجاد زخم ممکن است بیمار درد داشته باشد.»
به نقل از سایت researchgate
هیپرپلازی لثه در اثر استفاده از دندان مصنوعی اغلب در افراد بالای ۴۰ سال رخ می دهد. بدون درمان، این وضعیت ادامه خواهد داشت و اندازه گوشت اضافه در لثه افزایش می یابد و فرد بیشتر در معرض عفونت قرار می گیرد.
علت گوشت اضافه در لثه کودکان
هیپرپلازی لثه در کودکان در اثر عوامل مختلفی ایجاد میشود. این عوامل عبارتند از:
- بهداشت ضعیف دهان: بهداشت نامناسب دهان و دندان یکی از عوامل اصلی ایجاد هیپرپلازی لثه در کودکان است. تجمع پلاکهای دندانی منجر به التهاب لثه ها شده و باعث تورم و خونریزی آنها می شود. بروز التهاب و پلاک در کودکان ۵ تا ۱۲ ساله در زمان رویش دندان ها دائمی بیشتر دیده می شود.
- مصرف داروهای خاص: مصرف داروهای داروهای ضد تشنج (مانند فنی توئین)، داروهای سرکوب کننده سیستم ایمنی (مانند سیکلوسپورین) و … باعث ایجاد گوشت اضافه در لثه کودکان میشوند.
- فیبروماتوز ارثی لثه: بیماری ژنتیکی است که منجر به بزرگ شدن بیش از حد لثه در کودکان می شود که اغلب در دوران کودکی بروز می کند. این بیماری باعث تولید بیش از حد کلاژن در لثه میشود. در برخی موارد ممکن است نیاز به جراحی برای درمان گوشت اضافه در لثه کودکان باشد.
گوشت اضافه لثه بعد از ایمپلنت
ایمپلنت ها یکی از درمان های مهم در دندانپزشکی هستند. اما گاهی اوقات ممکن است پس از ایمپلنت به دلیل التهاب، عفونت لثه، تجمع پلاک، واکنش به ایمپلنت و یا استفاده از داروهای خاص، بیمار دچار هیپرپلازی لثه شود. اگر پس از ایمپلنت متوجه رشد بیش از حد لثه در محل جراحی شدید حتما به دندانپزشک مراجعه کنید تا اقدامات درمانی انجام شود.
گوشت اضافه لثه بعد از کشیدن دندان
پس از کشیدن دندان ممکن است به دلیل تجمع پلاک و عفونت باکتریایی التهاب ایجاد شود. این التهاب ممکن است باعث افزایش فاکتور رشد بتا ۱ (TGF- بتا ۱) شود که منجر به رشد بیش از حد لثه میشود. بسیاری از افراد پس از کشیدن دندان از مسواک زدن خودداری میکنند که همین مسئله نیز باعث تشدید پلاک و بروز هیپرپلازی لثه میشود.
بیشتر بخوانید: مراقبت های بعد از جراحی کشیدن دندان
اگر بیمار از داروها مانند فنی توئین، سیکلوسپورین A و مسدود کنندههای کانال کلسیم مصرف میکند، پس از انجام اقدامات دندانپزشکی مانند کشیدن دندان، رشد بافت لثه را تشدید میشود. در این صورت با مراجعه به دندانپزشک باید نسبت به درمان گوشت اضافه در لثه اقدام کنید.
گوشت اضافه لثه در ارتودنسی
هیپرپلازی لثه ممکن است در طول درمان ارتودنسی و یا پس از آن رخ دهد. وجود دستگاههای ارتودنسی ثابت میتواند منجر به جمع شدن پلاک شود. همانطور که در بالا اشاره کردیم پلاک یکی از مهمترین عوامل در ایجاد گوشت اضافه در لثه است. بهداشت نامناسب دندان این موضوع را تشدید میکند، زیرا ممکن است تمیز کردن دندانها، اطراف براکتها و سیمها مشکل باشد.
گوشت اضافه در لثه ممکن است در اثر تحریک مکانیکی و شیمیایی براکت ها ایجاد شود. بعلاوه، مواد مورد استفاده در ارتودنسی مانند نیکل، ممکن است باعث ایجاد واکنش های آلرژیک و رشد بافت لثه در برخی بیماران شوند.
**نکته: باید این نکته را ذکر کنیم که زمینه ژنتیکی و مصرف برخی داروها نیز باعث تشدید رشد لثه ها در طول درمان ارتودنسی می شوند.
درمان خانگی گوشت اضافه لثه
برخی از درمان های خانگی ممکن است به کاهش پلاک و در نتیجه کاهش احتمال ابتلا به بیماری های دندانی مانند التهاب لثه کمک کنند. اما بهترین راه برای جلوگیری، درمان پلاک قبل از تشکیل است. یعنی باید در حفظ بهداشت دهان و دندان بیشتر تلاش کنید. اقدامات زیر جزو بهترین درمان های خانگی برای گوشت اضافه در لثه است:
- حداقل دو بار در روز مسواک بزنید.
- هر سه ماه یکبار مسواک خود را تعویض کنید.
- روزانه نخ دندان بکشید.
- از دهانشویه استفاده کنید.
- حداقل سالی یک بار به دندانپزشک مراجعه کنید.
- غذاهای غنی از ویتامین C و مواد ضد التهابی مانند زردچوبه و زنجبیل و … مصرف کنید.
- از کشیدن سیگار یا جویدن تنباکو خودداری کنید.
بیشتر بخوانید: برای عفونت لثه چی بخوریم
- مصرف غذاهای شیرین محدود کنید.
- شستشوی دهان با آب نمک
- استفاده از دهانشویه های گیاهی
- استفاده از ژل آلوئه ورا
- استفاده از روغن درخت چای
- کشیدن روغن نارگیل به لثه ها و دندان ها
جراحی گوشت اضافه لثه
جراحی یکی از روشهای موثر برای درمان گوشت اضافه در لثه است. برخی از رایجترین روشهای جراحی عبارتند از:
- ژنژیوکتومی: ژنژیوکتومی یک روش رایج است که در آن پریودنتیست بافت اضافی لثه را برای تغییر شکل خط لثه برمیدارد. این روش میتواند بافتهای بیمار را از بین ببرد و خطر عفونت را کاهش دهد.
- جراحی لثه: ژنژیووپلاستی شامل برداشتن بافت اضافی لثه تحت بیهوشی عمومی است که اغلب همراه با تمیز کردن دندان انجام میشود. این روش نه تنها ظاهر لثهها را بهبود میبخشد، بلکه ناراحتی و التهاب را نیز کاهش میدهد.
- جراحی با لیزر: جراحی با لیزر به دلیل دقت و کاهش خونریزی حین جراحی محبوبیت زیادی پیدا کرده است. این روش در مقایسه با روشهای سنتی، بهبودی سریع تری دارد. لیزر میتواند به طور موثر بافت ملتهب لثه را حذف کند و در عین حال ناراحتی را برای بیمار به حداقل برساند.
بیشتر بخوانید: انجام جراحی لثه چگونه است؟
- جراحی فلپ پریودنتال: این روش لثه را از دندان جدا می کند. لثهها به طور موقت به عقب جمع میشوند تا دندانپزشک تا بافت ملتهب را برداشته و هرگونه پلاک یا تارتار را تمیز کند.
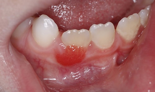
گوشت اضافه در دندان شکسته
وقتی دندانی شکسته میشود، محل شکستگی مستعد التهاب و عفونت میشود. شکستگی ممکن است ذرات غذا و باکتریها را به دام بیاندازد که منجر به افزایش تجمع پلاک و در نهایت التهاب لثه میشود. توصیه میکنیم قبل از اینکه دندان شما سکشته شود به دندانپزشک مراجعه کنید تا درمانهای ترمیمی انجام شود. این کار هم به حفظ دندان طبیعی شما کمک میکند و هم باعث کاهش بروز هیپرپلازی لثه میشود.
درمان گوشت اضافه دندان عقل
علتهای زیادی وجود دارد که چرا در محل رویش دندان عقل گوشت اضافه در لثه ممکن است به وجود بیاید. یکی از اصلیترین دلایل موقعیت دندان عقل است. دندان عقل در انتهای دهان قرار گرفته است و تمیز کردن و مسواک زدن این دندانها کمی سخت است، بنابراین ممکن است به دلیل تجمع پلاک این ناحیه دچار التهاب شده و بیشتر مستعد هیپرپلازی لثه شود.
علت دیگر، دندان عقل نهفته است. اگر دندان عقل نهفته باشد و در زیر بافت لثه گیر کرده باشد ممکن است باعث التهاب و سوزش در لثه ها شود.
مهمترین اقدامات برای درمان گوشت اضافه دندان عقل عبارتند از:
- به طور مرتب مسواک بزنید و یک مسواک کوچک برای مسواک زدن دندانهای عقل داشته باشید.
- نخ دندان بکشید.
- شستشو با آب نمک میتواند به کاهش تورم و عفونت کمک کند.
- از دهانشویه ضد عفونی کننده استفاده کنید.
- اگر هیپرپلازی لثه اطراف دندان عقل شما اذیت کننده است، به دندانپزشک مراجعه کنید. دندانپزشک شما ممکن است جرمگیری، کشیدن دندان عقل و یا جراحی را برای درمان هیپرپلازی لثه توصیه کند.
اگر چنین علائمی دارید یا از ظاهر لثههای خود ناراحت هستید، بهتر است زمان را از دست ندهید و برای معاینه دقیق به متخصص لثه یا پریو در شهریار و اندیشه مراجعه کنید. کلینیک ما با استفاده از لیزرهای پیشرفته و درمانهای کمدرد، مشکل گوشت اضافه لثه را با بالاترین دقت و بهترین نتیجه برطرف میکند.
کلام پایانی
گوشت اضافه در لثه یا هیپرپلازی لثه به دلیل عوامل مختلفی ایجاد میشود. یکی از اصلیترین دلایل این مشکل وجود التهاب است. التهاب به دلیل پلاک و عدم رعایت بهداشت دهان و دندان ایجاد میشود. استفاده از داروهای خاص، ابتلا به برخی بیماریها (دیابت و بیماریهای خود ایمنی) و بیماریهای ژنتیکی از دیگر دلایل ایجاد گوشت اضافه در لثه به شمار میروند. بسته به اینکه چه عاملی باعث هیپرپلازی لثه شده است روشهای درمانی مختلفی انتخاب میشود. مسواک زدن منظم، نخ دندان کشیدن و استفاده از دهانشویه از بهترین روشهای پیشگیری از ایجاد گوشت اضافه در لثه است. اگر اقدامات اولیه برای برطرف کردن مشکل کارساز نبود جراحی بهترین درمان پزشکی این مشکل است.
سوالات متداول
۱. گوشت اضافه لثه چیست؟
گوشت اضافه لثه یا هیپرپلازی، رشد غیرطبیعی بافت لثه در یک نقطه از دهان است. این حالت معمولاً به دلیل بهداشت ضعیف دهان، مصرف برخی داروها، تغییرات هورمونی یا بیماریهای زمینهای ایجاد میشود.
۲. آیا گوشت اضافه لثه خطرناک است؟
در اغلب موارد گوشت اضافه لثه مشکل جدی ایجاد نمیکند و بیشتر باعث تغییر ظاهر یا کمی ناراحتی هنگام مسواک زدن و جویدن میشود. با این حال، اگر حجم آن زیاد شود یا دچار خونریزی مداوم شود، باید تحت نظر دندانپزشک بررسی شود.
۳. آیا گوشت اضافه می تواند باعث از دست رفتن دندان شود؟
به طور معمول خیر، اما اگر باعث تجمع پلاک و التهاب شدید لثه شود، سلامت دندانها ممکن است تحت تاثیر قرار گیرد.
۴. آیا گوشت اضافه درد دارد؟
معمولاً بدون درد است، اما گاهی هنگام مسواک زدن، جویدن یا برخورد با غذاهای سفت میتواند باعث ناراحتی یا خونریزی جزئی شود.
بیشتر بخوانید: راه های درمان گامی اسمایل یا لبخند لثه ای
۵. چگونه می توان از گوشت اضافه پیشگیری کرد؟
رعایت بهداشت دهان و دندان با مسواک نرم و استفاده روزانه از نخ دندان، کنترل بیماریهای لثه و مراجعه منظم به دندانپزشک، بهترین راه جلوگیری از رشد بافت اضافی لثه است.
۶. آیا درمانی برای گوشت اضافه وجود دارد؟
بسته به اندازه و علت آن، درمانها میتوانند شامل تمیز کردن حرفهای لثه، درمان دارویی، برداشتن با لیزر یا جراحی باشند.
۷. آیا گوشت اضافه بعد از درمان دوباره رشد می کند؟
در برخی موارد، به خصوص اگر علت زمینهای رفع نشده باشد، امکان رشد مجدد وجود دارد. بنابراین رعایت بهداشت دهان و پیگیری درمان پس از برداشت بافت اضافی ضروری است.












