عکس برداری OPG در دندانپزشکی
عکس برداری با اشعه ایکس در دنیای پزشکی کاربردهای فراوانی دارد. در دندانپزشکی عکس اشعه ایکس (رادیولوژی) به طرق مختلف گرفته می شود. عکس رادیولوژی پانورامیک و پری اپیکال انواع تصاویر دو بعدی هستند که از اشیاء سه بعدی گرفته می شوند. همچنین عکس او پی جی (OPG) دندان و سفالوگرافی نیز کاربردهای زیادی دارند.
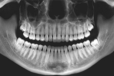
عکس او پی جی چیست؟
عکس او پی جی (OPG) مخفف عبارت ارتوپانتومونوگرام (Orthopantomogram) است که به آن (Panorex) هم می گویند، عکس opg دندان نوعی عکس اشعه ایکس دو بعدی از دندان ها و فک های بالا و پایین و اسکلت اطراف آن ها می باشد.
عکس او پی جی، نگاه پانورامیک از فک دارد در حالی که عکس سفالوگرام یک عکس اشعه ایکس از ساختارهای صورت است و عکس رادیولوژی معمولی دندان هم عکسی است که از ساختار یک یا چند دندان و کمی از بافت های اطراف آن گرفته می شود (که خود انواع گوناگون دارد).
مرکز تصویر برداری عکس دندان (opg) کلینیک دندانپزشکی بابکان
برای چه مواردی از عکس او پی جی استفاده می شود؟
کاربردهای عکس او پی جی به صورت زیر است:
- بررسی موقعیت کلی دندان ها و ارتباط آنها با یکدیگر
- پوسیدگی
- نهفتگی دندان
- شکستگی یا ترک خوردگی
- تغییر رنگ دندان ها
- عفونت دندان
- تومور
- وضعیت سینوس ها
- وضعیت استخوان فک
- کاشت ایمپلنت دندان
- درمان ارتودنسی
- جراحی چانه و فک
معایب و مضرات عکس او پی جی
برای گرفتن این نوع عکس دندان باید تحت مقدار کمی تشعشع قرار بگیرید. دوز تشعشع زیاد نیست و جای نگرانی ندارد. اما به طور کلی می توان موارد زیر را در نظر گرفت:
- احساس ناراحتی به خاطر فیلم در دهان.
- اشعه ایکس مقداری برای کودکان نسبت به بزرگسالان خطرناک تر است.
- در برخی موارد امکان اشتباه در عکس opg می باشد.
- ممکن مشکلات دندان خاص مثل پوسیدگی دندان ریز پشت دهان را نشان ندهد.
نکته : اگر باردار هستید باید موضوع را به اطلاع دندانپزشک برسانید.
مزیتها و فواید عکس او پی جی
- این روش عکسبرداری فوری و کاملا بدون درد و اذیت است. با گرفتن عکس opg اطلاعات بسیار خوبی در اختیار دندانپزشک، ارتودنتیست یا جراح فک و صورت قرار می گیرد.
- در این عکس تمامی دندانهای بالا و پایین در یک تصویر واحد دیده می شوند.
- در این تصویر، تعداد دندانها، موقعیت و زاویه آنها و هر گونه دندان نهفته در زیر لثه یا اضافی دیده می شود. به همین دلیل برای درمان ارتودنسی لازم است.
- برای بررسی وضعیت دندان های عقل و ساختار اطراف آنها و تصمیم گیری برای کشیدن یا نکشیدن آن به این تصاویر نیاز است.
- برای کاشت ایمپلنت دندان، دندانپزشک نیاز به مشاهده ساختار کلی دهان و دندانها و موقعیت آنها دارد.
انواع عکس رادیولوژی دهان چیست؟
به طور کلی دو نوع عکس اشعه ایکس از دهان گرفته می شود: داخل دهانی و خارج دهانی. در تصاویر داخل دهانی، فیلم در داخل دهان شما قرار می گیرد اما در تصاویر خارج دهانی، فیلم در بیرون از دهان و در دستگاهی است که مجاور سر شما قرار دارد.
الف- انواع عکس داخل دهانی
- بایت وینگ: جزئیاتی از دندان های بالا و پایین در یک منطقه مشخص از دهان ارائه می کند. هر عکس بایت وینگ یک دندان را از بالای تاج تا سطح استخوان نشان می دهد. در این عکس وضعیت روکش دندان یا ترمیمهای دیگر دندانی و همچنین هر گونه استهلاک پر شدگی دندان را میتوان مشاهده کرد.
- پری اپیکال: کل دندان را از تاج تا پایینتر از ریشه (محل اتصال دندان به فک) را نشان می دهد. هر عکس پری اپیکال تمامی دندان را در یک بخش از فک بالا یا پایین نشان می دهد تا هر تغییر غیر معمول در ریشه و استخوان اطراف دندان شناسایی شود.
- اکلوزال: موقعیت و رشد دندانهای یک قوس دندانی (فک بالا یا پایین) را نشان می دهد.
ب- انواع عکس خارج دهانی
- او پی جی یا پانورامیک: تمامی محدوده دهان شامل همه دندانهای بالا و پایین را در یک عکس واحد نشان می دهد.
- توموگرام: یک لایه یا قطعه خاصی از دهان را نشان می دهد و بقیه لایه ها را تار می کند تا به وضوح بتوان ساختارهایی را که دیدن آنها به دلیل نزدیکی به ساختارهای مجاور سخت است، مشاهده کرد.
- سفالومتری: یک طرف کل سر را نشان می دهد و ارتباط دندانها و فک و نیمرخ صورت مشخص می شود. در ارتودنسی و جراحی های فک و چانه این عکس بسیار کاربرد دارد.
- سی تی اسکن (اسکن توموگرافی کامپیوتری) دندان: نوعی عکس برداری به صورت سه بعدی است که برای تشخیص مشکلات استخوان مانند کیست و تومور و شکستگی انجام می شود.
- سی تی پرتو مخروطی: تصاویر سه بعدی از ساختارهای دهان، بافت نرم، عصبها و استخوان حاصل می کند. برای کاشت ایمپلنت، بررسی کیست دندان و تومور در ناحیه دهان و صورت کاربرد دارد. همچنین مشکلات لثه، ریشه های دندانها و فکها را نیز نشان می دهد. زاویه عکس گرفتن در سی تی پرتو مخروطی با سی تی اسکن معمولی تفاوت دارد چرا که این دستگاه دور سر بیمار می چرخد و همه داده ها را در یک چرخش به دست می آورد.
- عکس برداری دیجیتالی: تصاویر دو بعدی از دهان است که توسط دستگاه دیجیتالی به صورت دیجیتالی گرفته می شود و تصاویر مستقیما به کامپیوتر فرستاده می شود و بر روی نمایشگر قابل مشاهده است.
تفاوت عکس OPG با عکس رادیولوژی معمولی دندان چیست؟
در عکس او پی جی همه دندانها و استخوان فک اطراف آنها در یک عکس دیده می شوند اما در عکس رادیولوژی معمولی، تنها یک یا چند دندان از زاویه نزدیک دیده می شوند. اگر چه این برای دیدن وضعیت دقیق تر یک دندان مشخص (مثلا وضعیت پالپ دندان یا آسیب دیدگی عصبهای داخل آن یا ترکهای ریز احتمالی) مفیدتر است اما برای دیدن نمای کلی دندانها مناسب نیست. با عکس او پی جی هر مشکلی در هر جایی از دهان که وجود داشته باشد دیده می شود. همچنین مشکلات مربوط به استخوان فک و ارتباط آن با سر و مفصل گیجگاهی فکی (مفصل فک) مشخص می شود. گاهی اوقات ممکن است لازم باشد هر دو نوع عکس اشعه ایکس گرفته شود.
سوالات متداول
۱- چگونه برای گرفتن عکس او پی جی آماده شوم؟
هیچ آمادگی خاصی برای این نوع عکس اشعه ایکس لازم نیست. فقط یادتان باشد عکس های قبلی خود را برای مقایسه همراه بیاورید.
از شما خواسته می شود عینک، جواهرات و هر شی فلزی که ممکن است در تصویر مانعی ایجاد کند را در بیاورید. ممکن است از شما خواسته شود جلوی دستگاه بایستید و چانه خود را روی یک سکوی کوچکی که مخصوص این کار قرار داده شده بگذارید و به آرامی یک قطعه دهانی که استریل شده یا پلاستیک روی آن کشیده شده است را گاز بگیرید.
باید حواستان باشد تکان نخورید و کاملا آرام باشید تا عکس واضح بیفتد.
این عکس برداری هیچ مشکلی برای شما ایجاد نمی کند.
۲- آیا عکس او پی جی عفونت لثه را نشان می دهد؟
عکس های اشعه ایکس دهان از جمله او پی جی، میتوانند بیماریهای لثه از جمله آبسه دندان و لثه را نشان دهند. آبسه عفونتی است که در یک کیسه جمع شده است. آبسه لثه در داخل لثه و آبسه دندان در نوک ریشه دندان تشکیل می شود.
۳- چند وقت یک بار باید عکس او پی جی بگیریم؟
برای چکاپ دندانپزشکی هر پنج سال یک بار عکس او پی جی کفایت می کند. اما در صورتی که شرایط خاصی باشد و دندانپزشک نیاز به مشاهده کل دهان در تصویر اشعه ایکس داشته باشد ممکن است بیشتر از این نیاز باشد عکس OPG بگیرید.
۴- دستگاهی که عکس او پی جی می گیرد چگونه است؟
برای گرفتن عکس او پی جی، در مقابل دستگاه می ایستید و بخشی از تجهیزات دور سر شما می چرخد در حالی که شما کاملا ثابت ایستاده یا نشسته اید.
۵- چقدر طول می کشد تا یک عکس او پی جی از من گرفته شود؟
این عکس برداری تنها ۲۰ ثانیه زمان می برد.











سلام من دختر ۶ ساله ام را بردم مرکز عکس opg بگیره منو از اتاق بیرون کردند و لباس مناسب تن بچه نکرده بودند خیلی اعصابم خورد هست براش خطر داره
سلام وقت بخیر
خیر خطری ندارد نگران نباشید.
آسیب یکبار اشعه ایکس خیلی کمتر از امواج موبایلیست که دائم همراهمان است.
سلام وقت بخیر
آیا روکش دندان در عکس مشخص هست؟ برای بیمه میخواستم
سلام وقت بخیر
بله مشخص می شود.
سلام ببخشید من تو دهانم آفت زده شده، آیا عکس opg برام خطر داره؟
سلام وقت بخیر
بله باید ابتدا به درمان آفت دهان بپردازید و بعد برای درمان های دیگر دندانپزشکی اقدام نمایید.
سلام وقت بخیر من این عکس رو دوسال پیش گرفتم الان در مراجعه به پزشک دوباره باید بگیرم 🙏
سلام وقت بخیر
بله باید دوباره گرفته شود. عکس opg فقط ۶ ماه قابل استفاده است.
سلام من میخواستم دندون ایمپلنت بزارم بمن گفتند باید عکس opg بگیرم تا مشکلات احتمالی مشخص بشه باتوجه به اینکه من هیچ مشکل لثه ای ندارم بنظرتون این کار لازمه ممنون میشم راهنمایی کنید
سلام وقت بخیر
بله لازم است ربطی به مشکلات لثه ندارد، عکس opg وضعیت داخلی فک و دندانها را نشان می دهد و باعث می شود متخصص بهتر بتواند درمان را انجام دهد. برای هر یک از درمان های دندانپزشکی گرفتن عکس opg اجباری است.