رنگ لثه در افراد مختلف تفاوت دارد اما سیاهی یا تیرگی لثه و یا هر تغییر دیگری در رنگ لثه ممکن است به دلایل پزشکی، داروها، سیگار یا عوامل دیگر به وجود بیاید.
ملانین رنگدانه تیره ای است که مسئول رنگ پوست می باشد. در لثه نیز ملانین وجود دارد. رنگ لثه ممکن است در یک طرف بیشتر باشد یا به صورت لکه ای ایجاد شود. تیرگی لثه اگر در اثر افزایش ملانین باشد، طبیعی است و نیازی به درمان ندارد.
در بعضی مواقع تیرگی لثه یا پیگمانتاسیون لثه (gingival pigmentation) در اثر رسوب ملانین ها در لثه بوجود می آید. اگر لثه ی شما در حالت طبیعی به رنگ صورتی بوده و اکنون در اثر عوامل مختلف به رنگ سیاه در آمده، یعنی پیگمانتاسیون در لثه شما رخ داده است. این لکه های سیاه در لثه مریضی و یا عارضه ای بوجود نمی آوردند اما زیبایی لثه را از بین می برند. برای رفع آن می توانید به دندانپزشکی و متخصص مربوطه مراجعه کنید.
چه عواملی منجر به تیرگی لثه می شوند؟
- ملانین
بدن به صورت طبیعی ملانین تولید می کند. ملانین ماده ای است که به پوست، مو و چشمها رنگ می بخشد. هر چه ملانین بیشتری داشته باشید، مو، پوست یا چشمهایتان تیره تر خواهند بود. رنگ قهوه ای تیره یا سیاه لثه ها نیز میتواند به دلیل زیاد بودن ملانین در بدن باشد. اگر لثه فردی همیشه بسیار تیره بوده است دلیلی برای نگرانی نیست.
اما اگر تغییر رنگ لثه ظرف مدت کوتاهی بروز کرده باشد یا اگر لکه های سیاه روی لثه ایجاد شده باشد احتمالا ارتباطی با ملانین ندارد و نشان دهنده مشکلی است که باید بررسی شود.
- سیگار و دخانیات یکی از عوامل موثر در سیاه شدن لثه
دود دخانیات باعث تغییر رنگ لثه می شود. به این وضعیت، ملانوز سیگاری ها می گویند. سلولهای اختصاص یافته ای در بدن وجود دارند به نام ملانوسیت که ملانین تولید می کنند. نیکوتین موجود در تنباکو باعث می شود ملانوسیت ها ملانین بیشتر از حد معمول تولید نمایند.
در این حالت لثه قهوه ای یا سیاه می شود. تغییر رنگ ناشی از ملانوز، ممکن است به صورت لکه ای باشد و یا تمامی دهان را در بر بگیرد. سطح داخلی گونه ها یا لب پایینی نیز ممکن است تغییر رنگ پیدا کنند.
تحقیقات بین ترک سیگار و کاهش تیرگی لثه ارتباط یافته اند. این نشان می دهد لکه های تیره لثه ناشی از سیگار ممکن است قابل برگشت باشد.
- دارو
ماینوسایکلین (مینوسیکلین) دارویی است که برای درمان جوش و آکنه و برخی انواع عفونتها مانند کلامیدیا مورد استفاده قرار می گیرد. یک عارضه جانبی نامتداول این دارو، تغییر رنگ است که گاهی اوقات در دهان اتفاق می افتد.
در صورتی که دارو باعث تیرگی لثه تان شده است با پزشک در مورد تعویض دارو صحبت کنید.
- مواد آمالگام
پرکردگی آمالگام (مواد پر کننده دندان که به رنگ نقره ای دیده می شود) در اطراف دندانی که پر شده است ممکن است ظاهر شود اگر چه در هر جایی از دهان ممکن است آن را ببینید. اثر یا تتوی آمالگام، به صورت یک لکه سیاه، آبی یا خاکستری در داخل دهان دیده می شود.
آمالگام ترکیبی از فلزات است که برای پر کردن دندان ها به کار می رود. اگر ذرات این پر کننده دندان جدا شوند ممکن است در زیر پوست لثه نمایان شوند. برای این وضعیت نیازی به درمان نیست و هیچ خطری برای سلامتی ندارد.
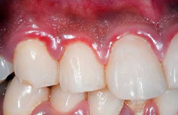
- ژنژیویت زخمی نکروز دهنده حاد
ژنژیویت زخمی نکروز دهنده حاد یا دهان خندقی یک عفونت لثه است که باعث تب، درد لثه و بوی بد دهان می شود. عفونت لثه میتواند باعث تیرگی لثه شود چرا که یک لایه از بافتهای مرده در لثه جمع می شوند.
دهان خندقی حاصل رشد سریع باکتریها در دهان است که معمولا به دلیل عفونت لثه روی می دهد. باکتریها ممکن است به دلیل ضعیف بودن بهداشت دهان، استرس، کمبود خواب و یا رژیم غذایی ناسالم در دهان جمع شوند.
علائم اولیه ژنژیویت زخمی حاد شامل خونریزی لثه، بوی بد دهان، ترشح زیاد بزاق و احساس ناخوشی است. ممکن است در لثه اطراف دندانها زخمهایی ایجاد شود.
درمان این عفونت ساده است. دندانپزشک دهان را جرمگیری و تمیز می کند و آنتی بیوتیک برایتان تجویز می نماید.
شستشوی دهان با دهانشویه تجویز شده زیرا حفظ پاکیزگی لثه و دندانها از تکرار عفونت جلوگیری می کند.
اطلاعات بیشتر : طریقه استفاده از دهانشویه
- بیماری آدیسون
بیماری آدیسون بر غدد ادرنال تاثیر می گذارد که مسئول تولید انواع هورمونها هستند. این اختلال جلوی عملکرد این غدد را می گیرد. علائم اولیه بیماری آدیسون عبارتند از:
- خستگی
- احساس تشنگی بیشتر از حد معمول
- کاهش وزن ناخواسته
- کاهش اشتها
- ضعیف شدن عضلات
با پیشرفت بیماری آدیسون، فرد ممکن است تیرگی لثه و لبها را تجربه کند. اصطلاح پزشکی این عارضه، افزایش رنگدانه یا هایپر پیگمنتیشن است.
بیماری آدیسون علاوه بر این که بر لب ها و لثه تاثیر می گذارد، ممکن است لکه های تیره در پوست نواحی دیگر بدن نیز ایجاد کند. شایعترین نواحی زانوها، خطوط کف دست، بند انگشتها و نواحی جای زخم (بافت جوشگاه) است.
بیشتر موارد بیماری آدیسون به دلیل مشکل در عملکرد سیستم ایمنی به وجود می آیند. این باعث می شود بدن به غدد آدرنال حمله کرده و به آنها صدمه برساند.
بیماری آدیسون در صورتی که درمان نشود عوارض شدیدی ایجاد می کند. اگر مقدار هورمونهای بدن (که باید توسط غدد آدرنال تولید شوند) خیلی افت کند بحران آدرنال به وجود می آید.
علائم بحران آدرنال شامل بی آبی شدید بدن، تنفس سطحی و تند تند، خواب آلودگی و رنگ پریدگی و سردی پوست است. بحران آدرنال یک وضعیت اورژانسی است.
بیشتر بخوانید: سیاهی لثه در کودکان
- سندرم پوتز – جگرز
سندرم پوتز- جگرز یک وضعیت ژنتیکی است که خطر پولیپ یا سرطان را افزایش می دهد.
یکی از علائم اولیه آن، لکه های قهوه ای یا آبی تیره است. این لکه ها در دهان و پوست انگشتهای دست و پا ممکن است ایجاد شوند.
لکه های پوتز – جگرز معمولا در کودکی بروز می کند و با افزایش سن ناپدید می شود. یک علامت کلیدی دیگر این وضعیت، خونریزی یا انسداد در دستگاه گوارش است که معمولا در کودکی اتفاق می افتد. آزمایش ژنتیک نشان می دهد آیا سندرم پوتز – جگرز دارید یا نه.
روشهای درمان تیرگی لثه چیست؟
درمان تیرگی لثه بستگی به این دارد که چه چیزی باعث آن شده است. وضعیتهایی مانند عفونت یا بیماری آدیسون باید تحت درمان دارویی قرار بگیرند.
در کسانی که به واسطه سیگار لثه شان تیره شده است با ترک سیگار ممکن است رنگ لثه به حالت نرمال برگردد.
همچنین برای روشنتر کردن رنگ لثه، درمانهای زیبایی (بلیچینگ دندان) وجود دارند که باید فقط تحت نظر متخصص مجرب صورت بگیرند و گرنه لثه صدمه می بیند.
برداشتن لکه تیره لثه با چاقوی جراحی یک روش تهاجمی درمان لثه است که برای برخی افراد مناسب است.
کرایوسرجری (انجماد درمانی) یک روش درمانی دیگر است. پژوهش منتشر شده در International Journal of Health Sciences گزارش می کند که احتمال برگشت تیرگی پس از کرایوسرجری، کم است.
بیشتر بخوانید: برای عفونت لثه چی بخوریم
پیوند آزاد لثه ممکن است در برخی افراد صورت بگیرد. در این درمان، بافت سالم و صورتی سقف دهان برداشته شده و به محل تیرگی لثه پیوند می شود. در این روش تیرگی لثه پنهان می شود نه این که برداشته شود.
برای این که بدانید کدام روش درمان تیرگی لثه برای شما مناسب تر است، باید با پزشک مشورت کنید.










سلام وقت بخیر… ببخشید یه سوال داشتم… بین دندان اسیاب فک پایین سمت چپ یه کم لثه ام رنگ بنفش پر رنگ شده البته به دندان اسیاب میخواستم بدونم خطرناکه؟؟؟
سلام وقت بخیر
باید حضوری مراجعه نمایید تا بررسی شود.
شاید بخاطر پوسیدگی ریشه و عفونت دندان باشد. اگر دندان دچار پوسیدگی شده باشد باید سریع تر درمان شود.
سلام بچه ی من ۱۰ ساله شه هم لثه ی پایین و بالا سیاه شده چیکار کنم؟ چرا سیاه شده ؟
سلام وقت بخیر
باید حضوری به دندانپزشک کودکان مراجعه نمایید تا وضعیت دندانها را بررسی کنند و بعد علت مشخص شود. احتمالا دندانهایشان دچار پوسیدگی شده است.
سلام پسر من ۱۰ سالشه لثه بالا تیره شده چه کنیم
سلام وقت بخیر
باید به دندانپزشکی مراجعه نمایید تا علت سیاهی لثه را بررسی کنند و بعد درمان مورد نیاز صورت گیرد. احتمالا دندانی دچار پوسیدگی شده است.
سلام زیر دندون های پایین یک تیرگی کوچک بوجود اومده دلیلش چیه
سلام وقت بخیر
باید معاینه شوید تا علت آن مشخص شود. میتواند از عفونت و پوسیدگی دندان باشد و یا میتواند از مصرف زیاد قلیان و سیگار باشد.
سلام خسته نباشید برادر من دندانای بالاش سیاه نبود ولی یهو سیاه شدا ایا خطرناک است!؟ ۲۴ ساله
سلام وقت بخیر
باید حضوری مراجعه نمایند تا علت آن مشخص شود شاید دندان پوسیده دارند که باعث عفونت و تیرگی لثه شده است.