روکش دندان

روکش دندان

1.3/5 - (3 امتیاز)

روکش دندان از جدید ترین راه حل های ماندگار برای دندان هایی است که دچار آسیب جدی شده‌اند. به زبان ساده، روکش یک کلاهک یا پوشش مصنوعی است که به طور کامل بر روی دندان آسیب دیده قرار می‌گیرد تا ظاهر، عملکرد و استحکام از دست رفته آن را به بهترین شکل بازسازی کند.

همچنین یکی از روش های ترمیم دندان است که به شکل تاج دندان بوده و روی آن قرار می گیرد. این روکش دارای انواع تمام فلزی و طلا، تمام سرامیکی، سرامیکی فلزی، زیرکونیم، استیل و… است. از روکش دندان برای دندان های شکسته، ترک خورده، پوسیده، سیاه و بدرنگ و دندان های عصب کشی شده استفاده می شود. قیمت حدودی روکش بین 6 تا 12 میلیون تومان است.

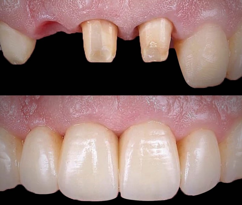
عکس دندان روکش شده
آنچه در این مطلب میخوانید

روکش دندان چیست؟

روکش دندان یا کراون یک پوشش مصنوعی با ظاهر طبیعی دندان برای ترمیم و حفاظت از دندان های آسیب دیده است.این روش در دندانپزشکی برای برگرداندن شکل واندازه، استحکام و ظاهر طبیعی دندان استفاده می شود.

روکش دندان (dental crown) یا دنتال کراون یکی از رایج ترین روش های ترمیم کردن دندان است. روکش در واقع کلاهکی شبیه به تاج دندان است که قرار است به جای تاج دندان در جویدن غذا نقشی ایفا کند به همین علت آن را تاج مصنوعی نیز میتوان نامید.

تاج به بخش سفید رنگ دندان گفته می شود که از لثه بیرون زده و آن را در دهان می بینید. بخش دیگر دندان ریشه است که در زیر لثه قرار دارد و آن را نمی بینید. روکش دندان کاملاً تاج دندان واقعی را می پوشاند و در واقع دیگر هیچ بخشی از دندان روکش شده را نمی‌بینید. روکش در واقع کلاهکی است که بطور کامل دور تا دور یک دندان را می پوشاند. موارد کاربرد روکش ها در دندانهای با تخریب زیاد مثل دندانهای عصب کشی شده که میزان دندان باقیمانده کم است برای جلوگیری از شکستن دندان ،پوشش کامل دندان با روکش ضروری است.

روکش دندان شکسته

دربعضی موارد نیز به منظور بازسازی لبخند و برگرداندن زیبایی به بعضی از دندان ها ممکن است از روکش استفاده شود. بعضی افراد بر این باورند که این درمان درد دارد اما باید بگویم که خیر روکش دندان برای دندان های عصب کشی شده گذاشته می شود در این صورت هیچ دردی نخواهد داشت.

در مواقعی که دندان دچار پوسیدگی زیاد شده است به نحوی که تنها با پر کردن نمی‌توان آن را ترمیم کرد، تاج دندان شکسته است، دندان عصب کشی شده است و یا گاهی اوقات صرفا برای زیبایی، از دنتال کراون استفاده می شود.

روکش دندان

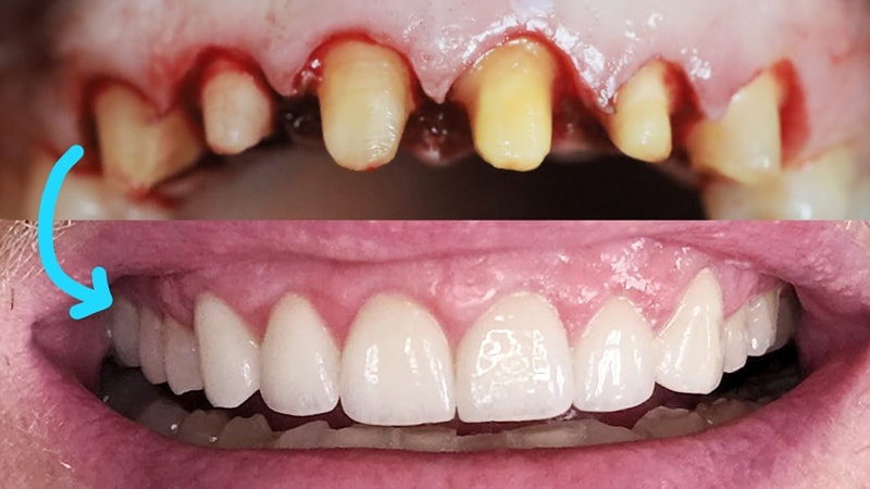
روکش برای دندان‌هایی که دیواره ‌هایشان شکسته یا حجم قابل توجهی از ساختار آنها به دلیل پوسیدگی از بین رفته باشد؛ همچنین دندان‌هایی که به دلیل عصب‌کشی یا نازک شدن جداره، احتمال شکستن ‌شان وجود داشته باشد، با روکش‌هایی به شکل دندان ( کراون دندان ) ترمیم و بازسازی می‌شوند.

تغذیه نامناسب و رعایت نکردن بهداشت دهان و دندان می‌تواند دندان ها را دچار تخریب بر اثر پوسیدگی دندان نماید و وارد آوردن ضربه نیز ممکن است دندان را دچار شکستگی کند. چنین تخریبی اگر حجم عمده‌ای از دندان را در بر بگیرد، ساختار باقی‌مانده دندان نیازمند تقویت بوسیله روکش است .

پروتزهای ثابت دندانی که به آن روکش دندان هم می‌گوییم

علاوه بر تامین استحکام برای ساختار از دست رفته دندان، زیبایی یک دندان سالم را نیز تامین می‌کند. زیرا می‌تواند دندان‌هایی که دچار شکستگی‌های مادرزادی، دندان‌هایی که اندازه‌های کوچک‌‌تر یا نا متناسب با سایر دندان ها را دارند. دنتال کراون ممکن است از فلزاتی مانند طلا، یا نوعی آلیاژ چینی به نام پرسلن یا ترکیبی از این دو ساخته شوند.

اسم انواع روکش دندان

انواع روکش دندان

روکش دندان از مواد مختلف ساخته می شود. بسته به نیاز و سلیقه بیمار نوع آن انتخاب می‌شود:

۱. روکش تمام فلزی، طلا

طلا یکی از قدیمی ترین مواد ترمیم کننده دندان بوده و از دیر باز برای بازگرداندن عملکرد به دندان به عنوان پر کردگی یا روکش مورد استفاده بوده است. روکش طلا مقاوم ترین و محکم ترین نوع روکش دندان است همچنین از نظر هزینه معمولاً گرانترین نوع روکش محسوب می شود.

در این روکش ها قسمت داخلی که در تماس با بافت دندان است از طلا و لایه بیرونی آنها از چینی ساخته می شود . طلا بدلیل خواص منحصربفرد خود بهترین ماده در دندانپزشکی محسوب می شود.
هیچ گونه خوردگی یا تغییر رنگ در این روکش ها در اطراف لثه ایجاد نمی شود . تطابق طلا با بافت دندان بسیار مطلوب است و حتی در طول زمان با فشارهای جویدن بهبود می یابد. این روکش ها از لحاظ دوام ،عالی محسوب می شوند.

۲. روکش تمام سرامیکی

روکش سرامیکی به روش‌های مختلف ساخته می‌شود. یکی از جدید ترین روش های ساخت روکش سرامیکی، استفاده از تکنولوژی دیجیتالی کد / کم است که در آن روکش توسط دستگاه طراحی، تراشیده و ساخته می شود. این روکش را می‌توانید به هر رنگی که می خواهید انتخاب کنید.

اگر چه می توان رنگ آن را مطابق با رنگ دندان های دیگری بیمار تغییر داد اما توجه داشته باشید پس از ساخت و آماده شدن دیگر نمی‌توان تغییری در رنگ آن ایجاد کرد. از نظر شباهت به دندان واقعی، روکش سرامیکی بهترین گزینه است اما از نظر استحکام به پای سایر جنسهای روکش نمیرسد.

در مواردی که زیبایی اولویت اصلی محسوب می شود ، روکش هایی که بصورت یکپارچه از سرامیک یا چینی ساخته شده اند زیبایی فوق العاده ای حاصل می کنند. روکشهای تمام سرامیک سازگاری بسیار مطلوبی با لثه دارند . انواع سرامیک ها با استحکام زیاد مانند سیلیکات و زیرکونیا برای این روکش ها کاربرد دارند. تغییر رنگ یا سایه تیره در لبه های این روکش ها دیده نمی شود . دوام آنها مطلوب و زیبایی آنها فوق العاده است .

۳. روکش سرامیکی فلزی

روکش سرامیکی فلزی که به عنوان روکش پی اف ام (pfm) شهرت دارند برای افزایش استحکام روکش های سرامیکی طراحی شده‌اند. یک اسکلت فلزی دارد که یک لایه سرامیک روی آن کشیده شده است. بنابراین از نظر زیبایی تقریباً شبیه روکش تمام سرامیکی است و از نظر استحکام از روکش سرامیکی قوی تر است.

رایج ترین نوع روکش ها هستند که قسمت داخلی آنها از فلز و سطح بیرونی آنها از چینی ساخته شده است.در این روکش ها معمولا یک لبه فلزی در پشت روکش نمایان است. در طول زمان با تحلیل لثه ها امکان نمایان شدن لبه فلزی آنها وجود دارد

در طول زمان به دلیل خوردگی ممکن است لبه های فلزی سیاه یا آبی شده ،نمای بد رنگی در لثه ایجاد نماید. بطور کلی رنگ چینی در این روش شفافیت کمتری نسبت به ساختار واقعی دندان دارد.
دوام این روکش ها در صورتی که وضعیت بهداشت دهان بیمار خوب باشد ،مطلوب است.

۴. روکش دندان زیرکونیوم ( zirconium crowns)

دسته دیگری از روکش های سرامیکی که جهت تقویت آنها از فریم های زیرکونیوم استفاده می شود با نام دنتال کراون زیرکونیوم شناخته می شوند. فرم و ساختار این نوع روکش به ساختار pfm مشابه می باشد. البته تفاوت هایی بین این دو مدل وجود دارد از جمله اینکه در روکش زیرکونیوم به جای فلز از زیرکونیوم در مرکز آن استفاده شده است.

برای اطلاعات بیشتر: تفاوت روکش پی اف ام با زیرکونیا

۵. روکش استیل

روکش استیل بیشتر برای دندان های شیری کودکان استفاده می شود و موقتی محسوب می شود. با این حال استیل بسیار مقاوم و محکم است و کارایی خوبی دارد. از نظر هزینه ارزانترین نوع روکش، استیل است.

برای اطلاعات بیشتر : روکش دندان شیری

۶. کراون دندان بدون پایه

زمانی که برای انجام روکش نیاز به استفاده از پست و کور وجود نداشته باشد، در اصطلاح به آن روکش بدون پایه گفته می شود. برعکس روکش با پایه نیاز به یک پایه فلزی برای حفظ استحکام خود دارد. استفاده از روکش های بدون پایه ویژگی ها و مزایایی را برای فرد به همراه دارد از جمله اینکه هزینه آن به مقدار قابل توجهی کمتر از هزینه روکش با پایه است و همچنین احتمال شکستگی این نوع روکش ها کمتر می باشد. اگر بخواهید از روکش بدون پایه استفاده کنید باید به صورت مرتب به دندانپزشک مراجعه کنید و در اولین زمانی که دندان آسیب دیده است آن را درمان کنید تا شرایط دندان به طور کامل وخیم نشده باشد و دچار آسیب نگردیده باشد.

مزایای روکش دندان

مزایای روکش دندان

استفاده از دنتال کراون فواید و مزایای مهم زیادی را در اختیار فرد قرار می دهد که عبارتند از :

  • افزایش استحکام دندان پر شده
  • مراقبت از تاج دندان که تحت درمان استحکام خود را از دست داده است.
  • پر کردن فضای خالی بین دندان ها
  • برطرف کردن مشکلات ظاهری تاج دندان از جمله فرم غیر طبیعی، شکستگی و …
  • پوشاندن تیرگی و بد رنگی دندان های جلو و افزایش سفیدی و زیبایی در دندان ها

معایب روکش دندان

این روش درمانی در کنار مزایای بسیار و اهمیت بالایی که در درمان های دندانپزشکی دارد، با برخی محدودیت ها و عوارض نیز همراه می باشد، از جمله:

  • ایجاد حساسیت در دندان ها به دلیل انجام تراشکاری در سطح دندان برای نصب روکش
  • عدم راحتی در جویدن غذا و خوراکی
  • ایجاد التهاب در لثه
  • نیاز به مراقبت بالا و رعایت بهداشت دهان و دندان در بهترین سطح ممکن
  • احتمال ایجاد حساسیت در لثه، زبان و … که در تماس با روکش هستند.
  • شکسته شدن و جدا شدن روکش
  • تجمع باکتری و ایجاد عفونت در خط مرزی روکش و دندان

همچنین بخوانید: عوارض چسباندن روکش دندان با چسب قطره ای

بهترین نوع روکش کدام است؟

عکس دندان روکش شده

  • روکش زیرکونیا: دوام بالا و ظاهری طبیعی
  • روکش سرامیکی یا پرسلن (E-Max): بهترین انتخاب برای دندان های جلویی
  • روکش فلزی: بسیار با دوام ولی کم طرفدار به علت ظاهرآن
  • روکش فلز-سرامیک (PFM): با دوام تر از سرامیک و قیمت مناسب تر
  • روکش رزینی (کامپوزیت): شکننده تر با مقاومت معمولی،قیمت پایین تر نسبت به سایر

پاسخ صریحی به این سوال نمی توان داد چرا که این بستگی به شرایط شما دارد. مثلاً برای دندان های جلویی که کاملاً در معرض دید قرار دادند و از طرفی فشار کمتری بر آنها وارد می‌شود، روکش تمام سرامیکی از نظر زیبایی شایسته است و برای دندان‌های عقبی که در معرض دید نیستند و از طرفی تحمل فشار در آنها مهم است، روکش سرامیکی فلزی بهتر است.

با این حال بسته به وضعیت دندان هایتان ممکن است این قانون همیشه صدق نکند. مثلاً اگر دندان هایتان کج و نامرتب هستند ممکن است برخی از دندان های جلویی تحت فشار زیادی قرار داشته باشند و روکش سرامیکی فلزی برای آنها مناسب تر باشد یا اگر به رنگ طلایی علاقه مند هستید و هزینه بیشتر دنتال کراون برای تان مهم نیست.

بهترین روکش برای دندان آسیاب

معمولا برای  برای دندان آسیاب روکش زیرکونیا گزینه‌ی خوبی است، چون ترکیب استحکام بالا و ظاهر مناسب را دارد. اگر استحکام خیلی بالا نیاز باشد یا دندان خیلی تحت فشار جویدن باشد، گزینه‌ی فلز خالص هم منطقی است. اگر بخش زیادی از دندان تخریب شده باشد یا عصب کشی انجام شده باشد، «اندوکرون» هم گزینه بسیار معقولی است.

در نهایت، انتخاب باید بر اساس:

  • وضعیت دندان شما (چقدر سالم یا تخریب شده است)
  • بودجه مورد نظرتان
  • حساسیت به فلز
  • اولویت شما برای ظاهر (زیبایی در دندان پشتی چقدر برایتان مهم است)

ارزانترین نوع روکش دندان کدام است؟

ارزان ترین نوع روکش دندان

هزینه ی روکش دندان بستگی به نوع و جنس روکش و هزینه ی لابراتوار دارد. هر چقدر از کیفیت بالاتری استفاده شود هزینه ی آن نیز بیشتر است و در نقطه مقابل هرچه آلیاژ مورد استفاده مرسوم تر و رایج تر باشد و تولید بیشتری از آن روکش صورت بگیرد، قیمت آن ارزانتر می باشد. معمولا ارزانترین نوع dental crown، روکش سرامیکی فلزی PFM (پرسلن باند شده به فلز) است که این مدل نیز بر اساس آلیاژ به کار رفته در ساخت، قیمت های متفاوتی دارد. اما به طور کلی بر اساس آلیاژ مرسوم در لابراتوارها این نوع روکش به صرفه تر است.

چه زمانی باید دندان را روکش کنیم ؟

دلیل اصلی استفاده از dental crown، از دست دادن یا ضعیف شدن نسوج تاجی دندان است. این اتفاق به سه دلیل :

  1. پوسیدگی
  2. سایش بیش از حد سطوح مختلف دندانی
  3. یا شکستگی تاج اتفاق می‌افتد
  4. انجام عصب کشی بر روی دندان

وقتی پوسیدگی دندان (پیشگیری از پوسیدگی دندان) اتفاق می‌افتد باید سریعا برای ترمیم آن اقدام شود. اگر پوسیدگی در مراحل اولیه باشد و سطح کوچکی از دندان را شامل شود به مراتب درمان آن ساده‌تر خواهد بود.
اما پوسیدگی‌های وسیع علاوه بر تضعیف نسوج تاجی دندان منجر به درگیری عروق و اعصاب پالپ دندانی می‌شوند که در نتیجه دندان نیاز به درمان ریشه یا عصب کشی دندان پیدا می‌کند.

روکش دندان

 

کراون دندان تاثیر به سزایی در زیبایی صورت دارد بخصوص که روکش دندان جلو برای زیبایی صورت ضروری است. رنگ روکش دندان را به سلیقه پزشک متخصص خود بگذارید، روکش بعد از عصب کشی انجام میشود.

مورد بعدی که سبب می شود یک فرد نیاز به استفاده از روکش داشته باشد، بحث زیبایی است. اگر فاصله بین دندان ها زیاد باشد، فرم دندان نامناسب باشد، لبه تاج شکسته شده باشد و …. می توان با انجام روکش زیبایی مناسبی در دندان ایجاد کرد تا در زمان خندیدن و صحبت کردن فرد احساس خوبی داشته باشد.

این درمان برای چه افرادی مناسب نیست؟

دنتال کراون روشی برای ترمیم و محافظت از دندان هایی است که آسیب دیده و ممکن است تحت فشار فک ترک بردارند یا بشکنند. اما همیشه با روکش کردن نمی توان مشکل را حل کرد. اگر ترک دندان عمیق باشد و به ریشه رسیده باشد کاری برای آن نمی توان انجام داد. دندان هایی که ریشه های آنها تحلیل رفته و یا آسیب دیده اند، غالبا با روکش کردن قابل ترمیم نیستند. در مواردی که پالپ دندان که بخش مرکزی دندان است دچار عفونت باشد نمی‌توان دندان را روکش کرد بلکه ابتدا باید عصب کشی انجام شود.

برای اطلاعات بیشتر: راه های درمان عفونت دندان

در هر صورت برای این که بدانید کراون دندان برای دندان شما مناسب است یا نه باید به دندانپزشک مراجعه کنید.

کاربرد روکش دندان

این لایه دندان مصنوعی که به صورت مرسوم از جنس های مختلفی از جمله سرامیک و فلز ساخته می شود دارای کاربردهای زیر می باشد:

  • پوشش تاج دندان هایی که دچار ترک، شکستگی و پوسیدگی شده اند.
  • پوشش سیاه شدن سطح بالایی دندان در اثر خرابی و پوسیدگی
  • دندان هایی که بر روی آنها عصب کشی انجام شده است و قسمتی از تاج دندان برای درمان تخریب شده است با کمک روکش محافظت می شود.
  • زمانی که دندان ایمپلنت شده باشد و نیاز به ایجاد تاج طبیعی بر روی آن باشد، روکش کاربرد دارد.

برای ترمیم و زیبایی دندان ها کدام روش بهتر است: باندینگ، لمینت یا روکش؟

انواع روکش دندان

اگر قصد دارید دندان هایتان را زیباتر کنید و یا مشکلاتی مثل لب پر شدگی، ترک خوردگی، فاصله بین دندان ها، کوتاهی یا باریک بودن دندان ها و یا کجی جزئی آنها را اصلاح کنید، ممکن است یکی از روش های باندینگ، روکش و یا لمینت دندان به شما پیشنهاد شود.

دندانپزشک پس از بررسی دندان ها، آنچه که واقعاً متناسب با شرایط شماست برای درمان پیشنهاد می‌کند. باندینگ در شرایطی استفاده می‌شود که تغییرات جزئی در دندان نیاز باشد اما در مواردی که تغییرات مورد نیازشدیدتر است، باندینگ نمی تواند نیازهای دندان شما را برآورده کند. بنابراین لمینت دندان پیشنهاد می شود. اما در برخی موارد دندان آسیب دیده و ساختار آن ضعیف شده است و نیاز به پشتیبانی بیشتری دارد، مثلاً ممکن است ترک خورده باشد. همچنین گاهی اوقات تغییراتی که نیاز داریم شدیدتر از چیزی است که با لمینت بتوان به وجود آورد. در چنین شرایطی روکش‌دندان توصیه می شود.

می توانید روکش دندان طلا بگذارید که بسیار بادوام و مقاوم است.

تفاوت لمینت و روکش چیست؟

تفاوت روکش دندان و لمینت دندان

روکش های دندانی با توجه به تعریف آن و عملکردی که ارائه می دهند، بیشتر در بعد درمانی مورد استفاده قرار می گیرند، اما لمینت یک نمونه یا دسته از روکش می باشد که به صورت سطحی دندان را پوشش می دهد و کاربرد آن فقط برای زیبایی می باشد. بارزترین تفاوت های روکش دندان و لمینت عبارتند از :

  • دنتال کراون دارای استحکام بیشتری نسبت به لمینت است.
  • در مورد دندان های عصب کشی شده، آسیب دیده و … از لمینت نمی توان استفاده کرد و باید روکش استفاده شود.
  • لمینت به صورت مجموع چند دندان از جمله دندان های خط خنده استفاده می شود ولی روکش ممکن است فقط برای یک دندان انجام شود.

هچنین بخوانید: تغییر رنگ روکش دندان

تفاوت روکش و ایمپلنت

ایمپلنت دندان یک روش درمانی جهت جایگزین کردن دندان طبیعی با یک پروتز مصنوعی می باشد که در آن با قرار دادن یک ریشه آلیاژی در لثه و گذاشتن تاج ساخته شده، درمان انجام می شود. می توان گفت از پایه روکش کردن و ایمپلنت دو دسته جدا هستند که اصلا کاربردهای نزدیک به هم ندارند. بارزترین تفاوت این دو روش درمانی عبارتند از :

  • دنتال کراون در مورد دندان های آسیب دیده، عصب کشی شده و … انجام می شود ولی ایمپلنت برای دندان هایی که به کلی از بین رفته اند یا کشیده شده اند قابل استفاده است.
  • روکش برای ایجاد زیبایی و مراقبت از دندان طبیعی استفاده می شود، در ایمپلنت دیگر دندان طبیعی وجود ندارد و از ریشه تا تاج با مواد ویژه جایگزینی صورت می گیرد.
  • طول عمر ایمپلنت بیشتر از دنتال کراون است و اگر دندانی دارای وخامت زیاد باشد، متخصص ممکن است توصیه کند به طور کامل دندان کشیده شود و ایمپلنت انجام شود.
  • در صورت مراجعه سریع و به موقع جهت درمان آسیب های دندانی، روکش اولویت دارد و مقدم است و در مواردی که فرد بسیار دیر برای درمان اقدام کند، ایمپلنت گزینه پیشنهادی می باشد.

دندان چگونه روکش می شود؟

مراحل روکش کردن دندان

مراحل روکش کردن دندان به این صورت است:

  1. دندانپزشک دهانتان را معاینه می کند و عکس پرتوی ایکس از دندان مورد نظر می گیرد تا  وضعیت پوسیدگی داخل دندان و وضعیت ریشه ‌های آن مشخص شود.
  2. سپس دندان باید آماده سازی شود. در فرآیند آماده سازی، دندان تراشیده می شود تا فضای کافی برای اضافه شدن روکش ایجاد شود.
  3. از دندان قالب گیری میشود. سپس برای ساخت ترمیم قالب به آزمایشگاه فرستاده می شود.
  4. پس از آماده شدن روکش، دندانپزشک روکش را روی دندانتان گذاشته و آن را امتحان و در صورت نیاز، تنظیم می‌کند.
  5. اگر مشکلی وجود نداشته باشد روکش به دندان متصل می شود.

چگونه به دندان متصل می شود؟

نوع اتصال روکش به دندان در مورد روکش موقتی و دائمی اندکی تفاوت دارد. روکش دندان موقتی تنها تا زمانی باید روی دندان بماند که روکش دندان دائمی آماده شود. برای چسباندن روکش دائمی از چسبی استفاده می شود که پیوند شیمیایی با مینای دندان برقرار می کند و قابل جدا شدن نیست. اما چسبی که برای روکش موقتی استفاده می شود ضعیف تر است و به راحتی می‌توان آن را جدا کرد.

درد و حساسیت دندان پس از روکش

روکش دندان

گاهی اوقات ممکن است پس از روکش کردن دندان، درد یا حساسیت دندان داشته باشید. معمولاً درد یا حساسیت دندان پس از روکش کردن موقتی است و مشکل جدی محسوب نمی شود. ممکن است کراون دندان زیادی بلند بوده و به دندان مقابل فشار می‌آورد. در نتیجه دندان درد می گیرد. در این صورت تنها کافیست مجدداً به دندانپزشک مراجعه کنید تا روکش تنظیم شود.

اما در برخی موارد علت آن مشکلات جدی تری است. مثلا ممکن است دندان در هنگام تراشیدن و یا از قبل، دچار عفونت بوده یا عصب های آن آسیب دیده باشند. در این صورت باید روکش برداشته شده و دندان تحت درمان قرار بگیرد. اگر پس از روکش کردن درد یا حساسیت دارید با دندانپزشک صحبت کنید تا این وضعیت بررسی شود.

پوسیدگی دندان زیر روکش

توصیه می شود هر شش ماه یک بار یا دست کم سالی یک بار برای بررسی وضعیت دندان ها و ترمیم های دندانی به دندانپزشک مراجعه کنید تا در صورتی که مشکلی به وجود آمده است به موقع درمان شود.‌

پوسیدگی در زیر روکش دندان

در مواردی که روکش کهنه و قدیمی شده است و یا به دلایل دیگر بخش‌هایی از آن از دندان جدا شده است، باکتری ها به زیر روکش نفوذ کرده و در فضایی امن شروع به تکثیر می کنند. اگر به موقع متوجه این اتفاق نشوید، دندان زیر روکش دچار پوسیدگی و کرم خوردگی می شود.‌

ممکن است این وضعیت را متوجه نشوید تا زمانی که پوسیدگی پیش رفته و گسترش می یابد. اگر برای معاینه چکاپ به دندانپزشک مراجعه نکنید احتمالاً با دندان درد یا حساسیت دندان، به دندانپزشک مراجعه می‌کنید و متوجه این مشکل می‌شوید.

برای درمان پوسیدگی زیر روکش، دندانپزشک روکش را جدا می کند و بخش های پوسیده دندان را تراشیده و تخلیه می کند. اگر هنوز عفونت به پالپ دندان نرسیده باشد و نیازی به عصب کشی نباشد دندان پر شده و با روکش جدید محافظت می شود. اگر عفونت به پالپ رسیده باشد ابتدا باید عصب کشی انجام شود و پس از آن دندان برای محافظت بیشتر روکش می شود.

مقاله : بهترین راه های پیشگیری از پوسیدگی دندان را اینجا بخوانید.

از کجا بدانیم باید روکش را عوض کنیم؟

با توجه به اینکه روکش جهت چه هدفی استفاده شده باشد، در زمان های مختلف باید تعویض گردد. اگر روکش دندان برای زیبایی کار شده باشد هر زمانی که زیبایی خود را از دست داده باشد می‌توانید آن را تعویض کنید. اما به طور کلی دنتال کراون تمام سرامیکی و سرامیکی فلزی طول عمری بین ۵ تا ۱۵ سال دارند. بنابراین پس از این مدت باید روکش عوض شود. هر زمانی که دندانپزشک فکر می‌کند روکش خوب است و مشکلی ندارد، نیازی نیست آن را عوض کنید. در مورد روکش های فلزی طول عمر بیش از ۲۰ سال برآورد می شود. اگر فرد دچار مشکلات زیر شد، باید برای تعویض روکش اقدام کند:

روکش دندان فوری و متحرک

  • احساس درد شدید در دندان و کانال ریشه
  • ایجاد حساسیت بالا در اطراف دهان و لثه
  • مشاهده زخم و عفونت در لثه به همراه پس روی لثه
  • ایجاد ترک، شکستگی و خرابی در روکش
  • دچار لک شدن یا بد رنگ شدن کراون دندان

گاهی اوقات هم به دلایل دیگر نیاز به تعویض روکش پیدا می کنید:

  • پسروی لثه اطراف دندان
  • ورم لثه یا درد دندان
  • استهلاک و آسیب دیدگی روکش
  • بد رنگ شدن کراون دندان

طول عمر و ماندگاری روکش دندان اگر مراقبت نشود تا ۵ سال است اما اگر به بهداشت دهان و دندان رسیدگی شود و نخ دندان هر روز استفاده شود عمر روکش دندان به ۱۵ سال می رسد. همچنین با مراجعه ی هر شش ماه به دندانپزشک و استفاده از بهترین نوع روکش، عمر آن نیز به ۲۰ الی ۳۰ سال خواهد رسید.

مراقبت از روکش

هنگامی که دندان خود را روکش می‌کنید باید بیشتر مراقب دندان خود باشید.

مزایای روکش دندان

  •  غذاهای سفتی که ممکن است باعث لب پر شدن یا شکستن روکش شوند، نباید بجوید.
  • باید همیشه مرتب مسواک بزنید تا هم سلامت لثه اطراف دندان حفظ شود و هم روکش دندان زیبایی خود را حفظ کند و جرم نگیرد.
  • پس از هر بار غذا خوردن، دندان‌های خود را مسواک بزنید. اگر جایی هستید که امکان مسواک زدن ندارید دهان خود را با آب کامل شست و شو بدهید. هر روز نخ دندان بکشید تا لابه لای دندان ها تمیز شود. اگر روش صحیح مسواک زدن را بلد نیستید از دندانپزشک بپرسید چرا که خیلی مهم است دندانها را درست مسواک بزنید.
  • برای مسواک زدن از خمیر دندان سفید کننده استفاده نکنید. خمیر دندان فلوراید دار تهیه کنید.
  • مسواکی با موهای نرم بخرید و از مسواک های سفت استفاده نکنید چرا که ممکن است باعث صدمه زدن به لثه و پس روی آن شوند.
  • هر شش ماه یک بار برای چکاپ به دندانپزشک مراجعه کنید.

روکش کردن دندان عصب کشی شده آیا همیشه لازم است؟

همه ی دندان هایی که درمان ریشه می شوند لزوما نیازی به روکش دندان عصب کشی شده ندارند، آنهایی که نیم و یا دو سوم تاج دندان را از مواد پر کننده استفاده می کنند بهتر است روکش شوند، زیرا این دندان ها ضعیف شده اند و احتمال شکستگی آنها زیاد می شود.

روکش دندان فوری و متحرک چگونه است؟

به روکش دندان فوری و متحرک، اسنپ آن اسمایل می گویند. این روش به تازگی کشف شده است و برای افرادی که نمی خواهند سطح دندانهایشان تراشیده شود و به سرعت دندان های زیبایی داشته باشند، مناسب است.

این روش دائمی نیست و می توان فقط در مهمانی ها، مراسم و موقعیت هایی که برایتان مهم است از آن استفاده نمایید. به صورت یکپارچه و دندان های به هم متصل شده درست می شود.

ماندگاری و عمر روکش چقدر است؟

در صورتی که به خوبی بهداشت دهان و دندان رعایت شود و نکات مراقبتی در مورد روکش به خوبی انجام شود، تا نزدیک ۱۵ سال و حتی بیشتر روکش در بهترین کیفیت ممکن عمل می کند. عدم اعمال فشارهای ناگهانی، پرهیز از خوردن غذا و خوراکی های سفت، استفاده از نخ دندان و … در طول عمر و ماندگاری دنتال کراون موثر هستند. در مواردی با انجام معاینات دوره ای و رعایت حداکثری مراقبت از روکش، می توان طول عمر آن را به بالاتر از ۲۰ سال نیز رساند.

اگر بهداشت رعایت نشود و نسبت به روکش حساس نباشید، احتمال اینکه زیر ۵ سال دچار آسیب شود وجود دارد.

قیمت روکش دندان

قیمت روکش دندان

با توجه به اینکه از چه نوع روکشی استفاده کنید و برای کدام دندان بخواهید درمان روکش انجام شود، هزینه آن متفاوت می باشد. عامل دیگری که در هزینه و قیمت دنتال کراون اثر می گذارد، شرایط دندان است که نیاز به روکش با پایه داشته باشد یا روکش بدون پایه برای آن مناسب باشد.

توانایی و تجربه متخصص، محل کلینیک، امکانات و … نیز بر روی قیمت نهایی درمان اثر می گذارد. حدود قیمتی روکش دندان بین ۶ تا ۱۲ میلیون تومان می باشد که در موارد جزیی مقدار کمتر یا بیشتر از این نیز وجود دارد.

سوالات متداول

دنتال کراون به تنهایی باعث پوسیدگی دندان نمی شود، اما عدم رعایت بهداشت دهان سبب می گردد که دندان دارای روکش، به پوسیدگی مستعد تر باشد.

بله امکان ایجاد پوشش بر روی این دندان ها وجود دارد و یکی از مهمترین مزایای روکش پوشاندن معایب دندان پر شده و ایجاد استحکام بیشتر بر روی آنها می باشد.

با توجه به اینکه این روش برای کدام دندان انجام شده باشد، نحوه مراقبت چطور باشد، نوع روکش و … طول عمر روکش متفاوت است و تا ۲۰ سال هم می تواند عمر کند.

بهترین نوع روکش متناسب با نیاز فرد که جهت درمان باشد یا زیبایی و همچنین شرایط دندان، انتخاب می شود. همیشه یک نوع روکش بهترین انتخاب نخواهد بود.

[custom_table_of_contents]
کلینیک دندانپزشکی بابکان

کلینیک دندانپزشکی بابکان یک دندانپزشکی شبانه روزی در شهریار است که با تیمی از متخصصین برجسته و به نام در حوزه های مختلف دندانپزشکی از جمله ارتودنسی، ایمپلنت، درمان ریشه، دندانپزشکی کودکان و فک و صورت فعالیت می کند.

این درمانگاه بروزترین تجهیزات از جمله عکسبرداری دیجیتال مانند CBCT را در اختیار دارد و خدمات متنوعی مانند ایمپلنت اقساطی، لمینت و کامپوزیت و … را ارائه میدهد. همچنین برای راحتی بیماران با بیمه ملت و البرز قرارداد دارد.

مشاوره رایگان

مقالات مرتبط

اشتراک گذاری مطلب در :

آنچه در این مطلب میخوانید

از ۱ تا ۵ به خدمات درمانی که دریافت کرده اید امتیاز دهید.

1.3/5 - (3 امتیاز)
اشتراک در
اطلاع از
guest
320 نظرات
تازه‌ترین
قدیمی‌ترین بیشترین رأی
بازخورد (Feedback) های اینلاین
مشاهده همه دیدگاه ها
علوی
علوی
1 سال قبل

با سلام و خسته نباشید
یکی از دندونام رو چند سال پیش روکش کردم ایا میشه با موادی چیزی یکم سفیدش کرد اخه یکم رنگش بد شده. فعلن هم نمیتونم هزینه کنم روکشش رو تعویض کنم؟
ممنون میشم ی راهی بهم نشون بدید

دکتر عطاللهی
پاسخ به  علوی
1 سال قبل

سلام وقت بخیر
اگر روکش دچار جرم و تغییر رنگ شده است میتوان با پالیش و جرمگیری به حالت اولیه برگرداند اما اگر از ابتدا روکش تیره ساخته شده و اکنون میخواهید آن را سفید کنید این امکان وجود ندارد و باید از ابتدا ساخته شود.

لبف
لبف
1 سال قبل

آقا روکش می‌خوام برای ۴ تا دندون

دکتر عطاللهی
پاسخ به  لبف
1 سال قبل

سلام وقت بخیر
باید حضوری مراجعه نمایید تا وضعیت دندانها بررسی و نوع روکش و جنس آن مشخص شود، بعد هزینه اعلام شود.

نسترن
نسترن
1 سال قبل

سلام من ۱ ماهه روکش گذاشتم برای دندونم حالا دو سه روزی میشه حس میکنم بین روکش و دندون کناریش فاصله ی حدود ۲ میلیمتری ایجاد شده. این فاصله اون اوایل نبود. طوریه که غذا میخورم اون بین یه مقدار گیر میکنه. مشکل از قالب گیری روکش بوده ؟ آخه من اوایلش این مشکل رو نداشتم.

دکتر عطاللهی
پاسخ به  نسترن
1 سال قبل

سلام وقت بخیر
احتمالا چسب روکش شل شده و روکش در حال کنده شدن است. به همان دندانپزشکی مراجعه نمایید تا بررسی کنند.

مسعود
مسعود
1 سال قبل

سلام دندون ۵ پایینمو تازه روکش کردم از داخل با لثه فاصله داره به طوری که با زبونم هم فاصله رو حس میکنم هم تیزی روکشو این روکش ایراد داره؟

دکتر عطاللهی
پاسخ به  مسعود
1 سال قبل

سلام وقت بخیر
بله احتمالا به درستی چسبانده نشده است. نباید روکش با لثه فاصله داشته باشد چون این فضای خالی، محلی برای تجمع غذا و تشکیل باکتری و پوسیدگی دندان می شود.

فرهاد
فرهاد
1 سال قبل

درود برشما
یه دندون آسیابم که خیلی خراب شده بود و کشیدم و دکتر گفته میخواد پل سه تایی بزاره
سوال من اینه که پل سه تایی ، روکش اول و سومی که روی دندونها نصب میشه
اما وسطی که در واقع یک دندون مصنوعیه ، چطور به لثه متصل میشه و آیا به مرور با لثه فاصله پیدا نمیکنه که باعث تجمع ذرات غذا و بوی بد دهان بشه
از دندانپزشکم پرسیدم آیا چسب میزنی
گفت نه
دندان مصنوعی روی لثه میشینه و توی قالب گیری خودش اندازه شو درست میکنه

دکتر عطاللهی
پاسخ به  فرهاد
1 سال قبل

سلام وقت بخیر
بریج سه تایی به دندانهای کناری چسبانده می شود و فیکس می شود، باید طوری ساخته شود که کامل بر روی لثه قرار گیرد و فضایی بینشان نباشد تا این مشکلاتی که فرمودید بوجود نیاید، اما به طور کلی ممکن است این مشکلات بوجود آید و خیلی توصیه نمی شود. همچنین لثه آن بخشی که دندان ندارد به مرور تحلیل می شود. بهترین راه، کاشت ایمپلنت است که باعث جلوگیری از تحلیل لثه می شود و مانند یک دندان طبیعی عمل می کند.

320
0
به خدمات درمانی که دریافت کرده اید نظر دهید.x