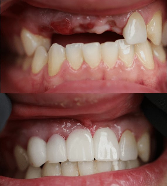
درمان ایمپلنت دندان طی سال های اخیر به یکی از رایجترین و مطمئنترین روش ها برای جایگزینی دندان های از دست رفته تبدیل شده است. اما با پیشرفت تکنولوژی، روشهای جدیدتری مانند ایمپلنت فوری (same-day Implant) مطرح شدهاند که باعث شده بسیاری از بیماران هنگام انتخاب درمان مناسب، دچار سردرگمی شوند. تفاوت اصلی این دو روش در زمان قرارگیری پایه ایمپلنت و شروع پروسه ترمیم است؛ در حالی که ایمپلنت معمولی نیازمند یک دوره چندماهه برای جوش خوردن با استخوان است، ایمپلنت فوری در همان روز کشیدن دندان یا حداکثر در چند روز نخست انجام میشود.
تفاوت ایمپلنت فوری با ایمپلنت معمولی
| ویژگی | ایمپلنت معمولی | ایمپلنت فوری |
| مدت زمان درمان | ۳ تا ۶ ماه | یک جلسه یا چند روز |
| جوش خوردن با استخوان | نیاز به دوره بهبودی | سریع، با تراکم استخوان کافی |
| نصب روکش | پس از بهبودی کامل | همان روز نصب میشود |
| نیاز به جراحی اضافی | ممکن است نیاز باشد | معمولاً نیاز نیست |
| مناسب برای | افرادی که زمان طولانی دارند و تراکم استخوان کافی دارند | افرادی که میخواهند سریع دندان داشته باشند و استخوان کافی دارند |
| مزایا | ایمن، ماندگار، درصد موفقیت بالا | سریع، کمدرد، اعتماد به نفس فوری |
| معایب | زمان بر | ریسک عفونت و شکست بالاتر |
تفاوت ایمپلنت فوری با ایمپلنت معمولی بیشتر در زمان درمان است. در ایمپلنت معمولی ابتدا پایه داخل فک قرار داده میشود و بین ۳ تا ۶ ماه زمان لازم است تا کاملاً جوش بخورد و استخوان اطراف آن شکل بگیرد. بعد از این مرحله، روکش نهایی روی پایه نصب میشود. این روش بسیار ماندگار و ایمن است، اما زمان بیشتری نیاز دارد.
در مقابل، در ایمپلنت فوری پایه ایمپلنت در یک جلسه کاشته میشود و یک روکش دندان موقت همان روز روی آن قرار میگیرد. این روش برای افرادی مناسب است که نمیخواهند مدت طولانی جای خالی دندان دیده شود و همچنین تراکم استخوان کافی دارند. سرعت درمان، زیبایی فوری و کاهش جلسات مراجعه از مزایای این روش است، اما احتمال فشار ناگهانی به فک، عفونت یا شکست ایمپلنت در مقایسه با روش معمولی کمی بیشتر است.
در نهایت، انتخاب بین این دو روش به وضعیت استخوان فک، شرایط سلامتی، نیازهای زیبایی و نظر دندانپزشک متخصص بستگی دارد.
ایمپلنت دندان معمولی
ایمپلنت های دندانی سنتی سالهاست که مورد استفاده قرار میگیرند و راهحلی مطمئن برای افرادی هستند که نیاز به جایگزینی دندانهای از دسترفته دارند. این روش شامل دو مرحله است:
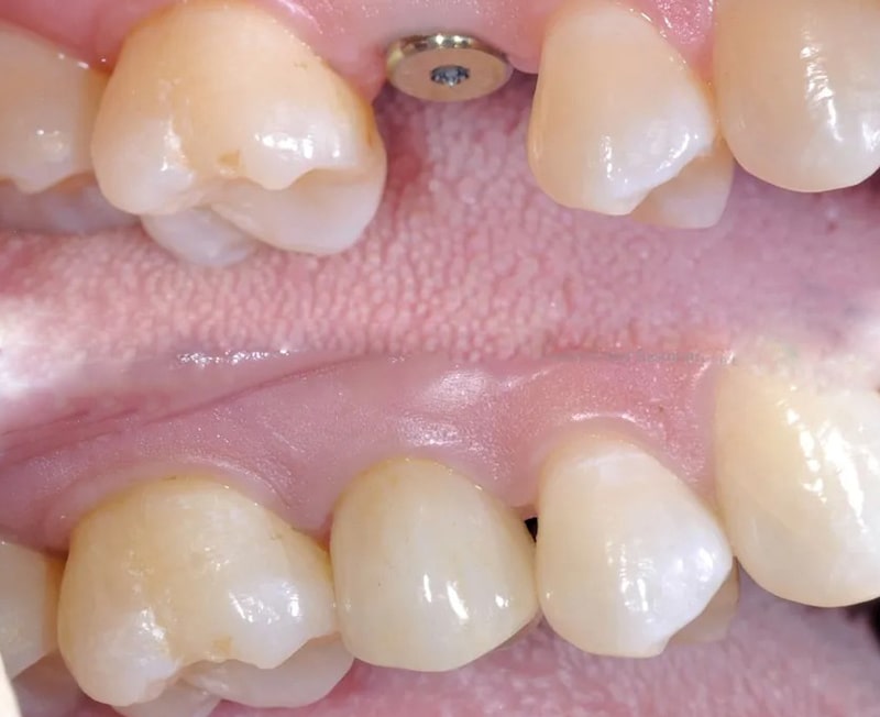
در مرحله اول، پیچی از جنس تیتانیوم درون استخوان فک قرار داده میشود که نقش ریشه مصنوعی دندان را دارد. این پیچ نیاز به زمانی دارد تا بهطور کامل با استخوان فک جوش بخورد (فرایندی که به آن اسئواینتگریشن گفته میشود)؛ سپس میتوان به مرحله دوم درمان رفت.
در طول این دورهی ترمیم، معمولاً دندانهای موقتی یا دستدندان برای بیمار تهیه میشود تا بتواند بهطور طبیعی غذا بخورد و صحبت کند تا زمانی که تاج یا بریج دائمی آماده شود.
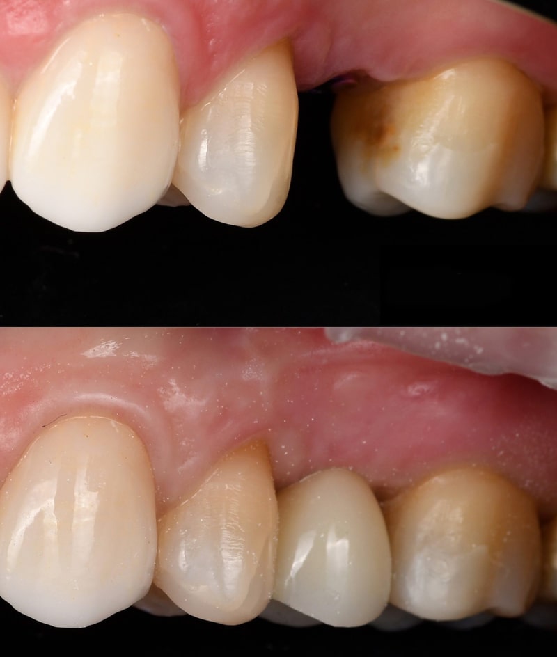
پس از اینکه ایمپلنت بهطور کامل ترمیم و به استخوان جوش خورد (که معمولاً چند ماه طول میکشد)، بیمار برای مرحله دوم درمان به مطب دندانپزشک بازمیگردد. در این مرحله، یک قطعه رابط به نام اباتمنت (Abutment) به پیچ ایمپلنت متصل میشود و سپس تاج یا بریج سفارشی از جنس سرامیک روی آن نصب میشود.
بیشتر بخوانید: بهترین متخصص ایمپلنت دیجیتال
اگرچه این فرآیند نسبت به ایمپلنت های یکروزه زمان برتر است، اما ثبات و دوام بیشتری نسبت به روشهای سریعتر دارد. همچنین، ایمپلنت های سنتی طی سالها بهخوبی آزمایش شدهاند و از نظر بیشتر متخصصان دندانپزشکی، روشی کاملاً ایمن و مطمئن محسوب میشوند.
با وجود اینکه این روش کمی پیچیده تر از ایمپلنت های فوری است، ایمپلنت سنتی همچنان یکی از بهترین و موفق ترین روش های جایگزینی دندان در دندانپزشکی مدرن بهشمار میرود.
ایمپلنت های یک روزه
ایمپلنت های یک روزه یکی از پیشرفتهای نسبتاً جدید در حوزه دندانپزشکی ترمیمی هستند. برخلاف ایمپلنتهای سنتی، در این روش بیمار میتواند در یک جلسه هم پایه ایمپلنت و هم تاج موقت را دریافت کند.
در این تکنیک، از تصویربرداری های پیشرفته و تکنولوژی مدل سازی سه بعدی استفاده میشود تا یک مدل دقیق از دهان بیمار تهیه شود. این مدل امکان قرار دادن بسیار دقیق پایه ایمپلنت را فراهم میکند و نیاز به جلسات متعدد یا استفاده از تاجهای موقت سنتی را از بین میبرد.
ایمپلنتهای یکروزه برای بیمارانی که به دلیل آسیب یا پوسیدگی دندان های خود را از دست دادهاند و بهدنبال بازسازی فوری لبخند هستند، گزینهای عالی محسوب میشوند. همچنین میتوان از این روش برای جایگزینی بریج ها یا دندان مصنوعی های آسیب دیده و ناکارآمد نیز استفاده کرد.
یکی دیگر از مزیتهای ایمپلنت یکروزه این است که معمولاً زمان بهبودی کوتاه تری نسبت به ایمپلنتهای معمولی دارد، زیرا نیازی به انتظار چند هفتهای میان جراحی و قرار دادن تاج وجود ندارد.
با این حال، نکته مهم اینجاست که همه بیماران کاندید مناسب ایمپلنت یک روزه نیستند؛ عواملی مثل تراکم کافی استخوان فک باید پیش از انجام این روش بررسی شود. مشورت با یک دندانپزشک متخصص میتواند تعیین کند که آیا این روش برای شرایط شما مناسب است یا خیر.
Same-day implants achieve 90-95% success in ideal candidates. Traditional implants reach 96-98% success across all patient types. The key is matching the technique to patient anatomy and healing capacity
ایمپلنتهای یکروزه در بیماران مناسب و شرایط ایدهآل، نرخ موفقیتی بین ۹۰ تا ۹۵ درصد دارند. در مقابل، ایمپلنت های سنتی در طیف گستردهای از بیماران، نرخ موفقیتی بین ۹۶ تا ۹۸ درصد را نشان میدهند.
نکته کلیدی در موفقیت درمان، هماهنگسازی نوع تکنیک با آناتومی بیمار و ظرفیت ترمیم بدن اوست. www.nobledental.co.nz
مزایا و معایب ایمپلنت دندانی سنتی و یک روزه
ایمپلنت دندانی سنتی روشی آزمایششده و قابل اعتماد است که دهههاست در دندانپزشکی استفاده میشود. این روش شامل چندین جلسه درمانی است، از جمله یک جراحی برای قرار دادن ایمپلنت در استخوان فک، و سپس یک دوره چندماهه برای ترمیم و جوش خوردن ایمپلنت با استخوان. این زمان اجازه میدهد تا فرایند اسئواینتگریشن یا اتصال کامل بین ایمپلنت و استخوان بهخوبی انجام شود و پایداری بالایی حاصل گردد.
یکی از مزایای اصلی ایمپلنت سنتی، نرخ موفقیت بسیار بالای آن است، چرا که ادغام مناسبی با بافت استخوانی اطراف ایجاد میشود. همچنین این نوع ایمپلنتها معمولاً دوام بیشتری نسبت به ایمپلنتهای یکروزه دارند، زیرا زمان کافی برای جوش خوردن با فک را داشتهاند.
با این حال، ایمپلنتهای سنتی نیاز به چند جلسه درمانی و اعمال جراحی دارند که ممکن است برای برخی بیماران فرایندی وقتگیر و نگرانکننده باشد. همچنین دوره بهبودی پس از جراحی میتواند کمی ناراحتی ایجاد کند.
در مقابل، ایمپلنت های یک روزه گزینهای جایگزین و راحتتر محسوب میشوند که به بیمار اجازه میدهد در همان جلسه اول، دندان یا دندان های جایگزین خود را دریافت کند! در این روش نیازی به صبر کردن چندماهه مانند ایمپلنتهای سنتی نیست؛ چرا که تاج روی پایه تیتانیومی در همان جلسه روی اباتمنت نصب میشود.
بیشتر بخوانید: تفاوت ایمپلنت معمولی با دیجیتال
مزیت اصلی ایمپلنت های یکروزه، راحتی و سرعت در انجام درمان است، زیرا تنها به یک جلسه مراجعه نیاز دارد، نه مراجعات متعدد در طول چند ماه. همچنین این روش معمولاً کمتهاجمیتر است و در نتیجه، درد و ناراحتی بعد از عمل کمتر خواهد بود.
اما از معایب این روش این است که در برخی موارد اتصال کامل بین ایمپلنت و استخوان (اسئواینتگریشن) به طور کامل انجام نمی شود، چرا که زمان کافی برای ترمیم وجود ندارد. همین موضوع ممکن است در درازمدت باعث افزایش نرخ شکست درمان نسبت به سایر روشها مانند پروتزهای بارگذاری فوری (ILD) شود.
کاندیداهای مناسب برای ایمپلنت سنتی
- افرادی با تراکم استخوان ناکافی که ممکن است نیاز به پیوند استخوان داشته باشند: در مواردی که استخوان فک ضعیف است، ابتدا باید با انجام پیوند استخوان، بستر مناسبی برای کاشت ایمپلنت ایجاد شود.
- بیمارانی که نیاز به چند ایمپلنت در نواحی مختلف دهان دارند: ایمپلنتهای سنتی امکان برنامهریزی مرحلهای برای جایگزینی دندانهای متعدد را فراهم میکنند.
- افرادی که آمادگی طی کردن یک دوره درمانی طولانیتر برای دستیابی به نتایج بهینه را دارند: برخی بیماران ترجیح میدهند مراحل درمان بهصورت تدریجی و با دقت بالا انجام شود تا پایداری بلندمدت تضمین شود.
- بیمارانی با شرایط پیچیده که نیاز به برنامهریزی درمانی دقیق و سفارشی دارند: این روش برای افرادی که دچار تحلیل استخوان شدید یا ساختارهای آناتومیکی خاص هستند، گزینهای مؤثر است.
- افرادی که مایل به بررسی دقیق گزینههای مختلف ایمپلنت پیش از تصمیمگیری نهایی هستند: آگاهی کامل از انواع روشها، به انتخاب درمانی مناسب با سلامت دهان بلندمدت کمک میکند.
بیشتر بخوانید: تفاوت ایمپلنت تک دندان با ایمپلنت کامل فک
کاندیداهای مناسب برای ایمپلنتهای فوری
- بیمارانی که تراکم استخوان کافی دارند:
برای نصب فوری ایمپلنت، وجود استخوان فک قوی و سالم ضروری است تا ایمپلنت بهدرستی با استخوان جوش بخورد و موفقیتآمیز باشد.
- افرادی که نیاز به جایگزینی یک دندان یا ترمیم کامل قوس دندانی (Full-Arch) دارند:
ایمپلنتهای فوری راهکاری سریع و مؤثر برای بازگرداندن عملکرد و زیبایی لبخند در این موارد محسوب میشوند.
افرادی با سلامت دهان مناسب و بدون بیماری لثه (پریودنتال):
وجود لثههای سالم برای پایداری ایمپلنت بسیار مهم است و احتمال بروز عوارض را کاهش میدهد.
- بیمارانی که بهدنبال راحتی و کاهش مراجعه به دندانپزشکی هستند:
ایمپلنتهای یکروزه برای افرادی که برنامههای شلوغی دارند و ترجیح میدهند با کمترین مزاحمت درمان شوند، بسیار مناسباند.
- افرادی که خواهان کاهش مدت زمان درمان هستند:
این گزینه برای کسانی ایدهآل است که میخواهند در کمترین زمان ممکن، دندان خود را جایگزین کرده و دوره نقاهت کوتاهی داشته باشند.
دوره نقاهت در ایمپلنت سنتی
- ترمیم بعد از جراحی: معمولاً محل جراحی به ۱ تا ۲ هفته زمان برای بهبود نیاز دارد. در این مدت ممکن است کمی درد و تورم پس از عمل تجربه شود که طبیعی است.
- دوره اسئواینتگریشن (جوش خوردن با استخوان): حدود ۳ تا ۶ ماه طول میکشد تا ایمپلنت بهطور کامل با استخوان فک ادغام شود و برای نصب تاج نهایی آماده گردد.
- نصب تاج دائمی: پس از تکمیل فرآیند ترمیم و جوش خوردن، تاج دائمی روی ایمپلنت قرار میگیرد و یک جایگزین قوی و شبیه به دندان طبیعی را فراهم میسازد.
- مراقبت بلندمدت: بیماران باید روتین بهداشت دهان و دندان را بهخوبی رعایت کنند و بهصورت منظم در ویزیتهای دورهای دندانپزشکی شرکت نمایند تا موفقیت طولانیمدت ایمپلنت تضمین شود.
دوره نقاهت در ایمپلنت فوری
- ترمیم اولیه: حدود ۱ تا ۲ هفته برای بهبود بافت نرم زمان نیاز است. در این مدت ممکن است مقداری ناراحتی و تورم وجود داشته باشد که طبیعی است.
- دوره اسئواینتگریشن (جوش خوردن با استخوان): ایمپلنت بهتدریج با استخوان فک جوش میخورد، در حالی که تاج موقتی به بیمار اجازه میدهد بلافاصله از دندان استفاده کند. این فرایند باعث میشود ایمپلنت فوری یک راهحل سریع و کارآمد باشد.
- نصب تاج دائمی: پس از ۳ تا ۶ ماه و کامل شدن فرایند جوش خوردن، تاج موقتی با تاج دائمی جایگزین میشود که هم زیبایی و هم دوام طولانی مدت را فراهم میکند.
- مراقبتهای بعد از عمل: بیماران باید در ابتدا از رژیم غذایی نرم پیروی کنند و همچنین بهداشت دهان را بهطور دقیق رعایت نمایند تا از بروز عفونت یا شکست ایمپلنت جلوگیری شود.
بیشتر بخوانید: اگر ایمپلنت نکنیم چه میشود
انتخاب آگاهانه بین ایمپلنت فوری و سنتی
هنگام تصمیمگیری بین ایمپلنتهای یکروزه و ایمپلنتهای سنتی، بهتر است نکات زیر را در نظر بگیرید:
- برنامه زمانی شما: اگر نیاز به بازگرداندن فوری عملکرد دندانها دارید، ایمپلنتهای فوری میتوانند گزینهای ایدهآل برای بازیابی سریع لبخند شما باشند.
- تراکم استخوان و سلامت دهان: اگر از تراکم استخوانی خوبی برخوردار هستید، ایمپلنت فوری میتواند انتخاب مناسبی باشد. اما اگر نیاز به پیوند استخوان دارید، روش سنتی گزینهای مناسبتر خواهد بود.
- بودجه و ارزش درمان: هم هزینههای کوتاهمدت و هم بلندمدت را در نظر بگیرید. ایمپلنتهای یکروزه ممکن است در ابتدا هزینه بیشتری داشته باشند، اما با توجه به کاهش مراجعات و سرعت درمان، در بلندمدت مقرونبهصرفهتر باشند.
- اهداف زیبایی و عملکردی: هر دو روش نتایج زیبایی و عملکردی خوبی دارند، اما ایمپلنتهای فوری امکان بازگشت سریعتر به عملکرد طبیعی دهان و ترمیم ظاهری لبخند را فراهم میکنند.
سوالات متداول
۱. آیا همه می توانند ایمپلنت فوری انجام دهند؟
خیر. ایمپلنت فوری فقط برای بیمارانی مناسب است که تراکم استخوان کافی، لثههای سالم و شرایط دهانی مناسب داشته باشند. بررسی کامل توسط دندانپزشک برای تشخیص مناسب بودن این روش ضروری است.
۲. ایمپلنت سنتی بهتر است یا یک روزه؟
هر دو روش مزایا و معایب خود را دارند. ایمپلنت سنتی پایداری بلندمدت بیشتری دارد، اما ایمپلنت یکروزه سرعت و راحتی بیشتری فراهم میکند. انتخاب نهایی به وضعیت دهان، تراکم استخوان و ترجیح شخصی شما بستگی دارد.
۳. هزینه ایمپلنت فوری بیشتر است یا سنتی؟
ایمپلنتهای یکروزه معمولاً در ابتدا هزینه بیشتری دارند چون همه مراحل در یک جلسه انجام میشود، اما ممکن است به دلیل کاهش مراجعات و مدت زمان درمان، در بلندمدت مقرونبهصرفهتر باشند.
۴. مدت زمان بهبودی در هر روش چقدر است؟
در ایمپلنت فوری، بافت نرم ظرف ۱ تا ۲ هفته ترمیم میشود و تاج موقتی بلافاصله نصب میگردد. اما ایمپلنت سنتی نیاز به ۳ تا ۶ ماه زمان برای جوش خوردن کامل با استخوان دارد.
بیشتر بخوانید: بهترین متخصص روکش دندان در شهریار و اندیشه
۵. کدام روش دوام بیشتری دارد؟
ایمپلنتهای سنتی به دلیل زمان کافی برای اسئواینتگریشن، در بسیاری از موارد دوام بیشتری نسبت به ایمپلنتهای فوری دارند، البته اگر شرایط بیمار برای ایمپلنت فوری ایدهآل باشد، آن هم میتواند موفق و بادوام باشد.
۶. اگر استخوان فکم تحلیل رفته باشد، می توانم ایمپلنت فوری انجام دهم؟
احتمالاً نه. در این موارد معمولاً ابتدا نیاز به پیوند استخوان است و سپس باید از روش سنتی استفاده شود. دندانپزشک با تصویربرداری دقیق میتواند نظر قطعی بدهد.
۷. آیا ایمپلنت یک روزه واقعاً در یک روز انجام می شود؟
بله، در صورتی که شرایط بیمار مناسب باشد، ایمپلنت و نصب تاج موقت میتواند در یک جلسه انجام شود. اما تاج نهایی همچنان پس از چند ماه و تکمیل جوش خوردن نصب خواهد شد.











