ایمپلنت دندان نه تنها باعث تحلیل استخوان فک نمی شود، بلکه یکی از موثرترین روش ها برای جلوگیری از آن است. وقتی دندانی از بین می رود، فشار جویدن به استخوان منتقل نمی شود و به مرورتحلیل استخوان رخ می دهد. اما ایمپلنت با اتصال مستقیم به استخوان این مشکل را برطرف می کند. البته در مواردی مانند عفونت لثه، کاشت نادرست یا رعایت نکردن بهداشت دهان، ممکن است استخوان اطراف ایمپلنت دچار تحلیل شود. در ادامه این مطلب، به بررسی کامل نقش ایمپلنت در حفظ استخوان فک، علت تحلیل استخوان فک و راه های جلوگیری از این عارضه می پردازیم.
| نکات کلیدی | موضوع |
| ایمپلنت از تحلیل استخوان جلوگیری میکند و نیروهای جویدن را به استخوان منتقل میکند. | تاثیر ایمپلنت روی استخوان |
| کاشت نادرست، بهداشت ضعیف دهان، بیماریهایی مثل پریایمپلنتیت یا دیابت کنترلنشده. | خطرات تحلیل استخوان |
| انتخاب دندانپزشک متخصص، رعایت بهداشت دقیق، پرهیز از سیگار، معاینات دورهای. | پیشگیری |
| در صورت کمبود استخوان، پیوند استخوان میتواند محیط مناسب برای کاشت ایجاد کند. | شرایط کمبود استخوان |
| ایمپلنت سالم و بادوام نیازمند برنامهریزی دقیق، اجرای تخصصی و مراقبت مداوم است. | نتیجه نهایی |
تاثیر ایمپلنت در حفظ استخوان فک
وقتی دندان طبیعی از بین می رود، فشار ناشی از جویدن به استخوان فک، از بین می رود. در نتیجه، استخوان به مرور تحلیل می رود و تراکم خود را از دست می دهد. اما ایمپلنت با اتصال مستقیم به استخوان باعث می شود نیروی جویدن دوباره به استخوان منتقل شود و مانع از تحلیل فک گردد. بنابراین، در حالت طبیعی ایمپلنت نه تنها باعث تحلیل استخوان نمی شود، بلکه از آن جلوگیری می کند.
چه زمانی ایمپلنت باعث تحلیل استخوان فک می شود؟
در حالت طبیعی ایمپلنت از تحلیل استخوان جلوگیری می کند، اما گاهی به دلایل خاص ممکن است اثر معکوس داشته باشد. عواملی همچون التهاب بافت اطراف ایمپلنت، فشار بیش از حد در جویدن یا کاشت نادرست موجب تحلیل استخوان فک می شوند. در ادامه دلایل تحلیل استخوان فک ناشی از ایمپلنت را بررسی می کنیم:
۱. عدم جوش خوردن صحیح ایمپلنت با استخوان
فرآیند جوش خوردن ایمپلنت با استخوان فک (اُسئواینتگریشن) مهم ترین مرحله در موفقیت درمان است. اگر این اتصال به درستی شکل نگیرد، ایمپلنت استحکام لازم را پیدا نمی کند و هنگام جویدن، فشارهای غیرطبیعی به استخوان وارد می شود. این فشارها در طول زمان باعث تحلیلو تخریب بافت استخوانی اطراف ایمپلنت می شوند.
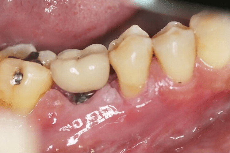
۲. بیماری های لثه (پری ایمپلنتیت)
پری ایمپلنتیت نوعی التهاب باکتریایی است که بافت نرم و سخت اطراف ایمپلنت را درگیر می کند. این بیماری شبیه بیماری لثه در دندان طبیعی است و معمولا به دلیل تجمع پلاک، عدم رعایت بهداشت دهان یا سیگار ایجاد می شود. این التهاب، در صورت درمان نشدن، به استخوان سرایت کرده و موجب تحلیل و حتی از دست رفتن ایمپلنت می شود.
۳. فشار زیاد در حین جویدن
اگر روکش یا تاج روی ایمپلنت به درستی تنظیم نشده باشد، فشار زیادی هنگام جویدن به پایه ایمپلنت و استخوان فک منتقل می شود. این فشارهای نامتعادل به مرور باعث استرس مکانیکی و تخریب بافت استخوانی در اطراف ایمپلنت خواهند شد. تنظیم دقیق اکلوژون (تماس دندانی) توسط دندانپزشک از بروز این مشکل جلوگیری می کند.
بیشتر بخوانید: تفاوت ایمپلنت معمولی با دیجیتال
۴. کاشت نادرست ایمپلنت
جایگذاری دقیق ایمپلنت نقش حیاتی در موفقیت آن دارد. اگر ایمپلنت در زاویه یا عمق نامناسب کاشته شود، یا اندازه آن با تراکم استخوان هماهنگ نباشد، نیروهای جویدن به طور نامتعادل توزیع می شوند. این موضوع به مرور موجب تحلیل استخوان اطراف پایه و حتی لق شدن ایمپلنت خواهد شد.
۵. سیگار کشیدن
سیگار یکی از دشمنان اصلی موفقیت ایمپلنت است. نیکوتین باعث کاهش جریان خون در بافت های لثه و استخوان می شود و روند ترمیم زخم ها را کند می کند. در نتیجه احتمال عفونت، التهاب و تحلیل استخوان در اطراف ایمپلنت در افراد سیگاری بیشتر است.
۶. بهداشت دهان ضعیف
رعایت دقیق بهداشت دهان پس از کاشت ایمپلنت، از اهمیت بالایی برخوردار است. در صورت تمیز نکردن مناسب، باکتری ها و پلاک در اطراف ایمپلنت تجمع کرده و موجب التهاب لثه و تحلیل تدریجی استخوان می شوند. استفاده منظم و روزی دوبار از مسواک نرم و نخ دندان، بهترین راه پیشگیری از این عارضه است.
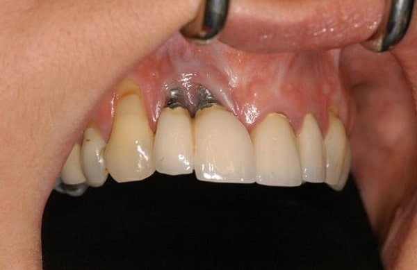
علائم تحلیل استخوان فک اطراف ایمپلنت
در مراحل اولیه، تحلیل استخوان ممکن است بدون علامت باشد، اما با پیشرفت این عارضه، ممکن است علائم زیر مشاهده شود:
- لق شدن ایمپلنت یا احساس حرکت در آن
- خونریزی یا التهاب لثه اطراف ایمپلنت
- بوی بد دهان
- درد یا ناراحتی هنگام جویدن
- عقب رفتگی لثه و نمایان شدن بخش فلزی ایمپلنت
بیشتر بخوانید: بهترین متخصص ایمپلنت دیجیتال
روش های پیشگیری از تحلیل استخوان فک بعد از ایمپلنت
برای جلوگیری از این عارضه، رعایت چند نکته کلیدی بسیار موثر است:
- انتخاب دندانپزشک متخصص و باتجربه: کاشت صحیح ایمپلنت، انتخاب نوع مناسب و بررسی تراکم استخوان پیش از جراحی بسیار مهم است.
- رعایت بهداشت دهان و دندان: مسواک زدن، استفاده از نخ دندان مخصوص ایمپلنت و دهانشویه آنتی باکتریال ضروری است.
- پرهیز از سیگار و دخانیات: سیگار روند ترمیم و جوش خوردن استخوان را مختل می کند.
- بررسی و معاینه دوره ای ایمپلنت ها: مراجعه منظم به دندانپزشک هر ۶ ماه یکبار از بروز التهاب یا لق شدن ایمپلنت جلوگیری می کند.
- اصلاح فشارهای جویدن: پزشک باید در صورت سنگین بودن تماس بین دندان ها، تنظیمات لازم را روی تاج ایمپلنت انجام دهد.
درمان تحلیل استخوان فک بعد ایمپلنت
روش های درمانی مختلفی در صورت مشاهده علائم تحلیل استخوان بسته به شدت عارضه وجود دارد که در ادامه به درمان های تحلیل استخوان فک اطراف ایمپلنت می پردازیم:
- جرم گیری و تمیز کردن عمقی اطراف ایمپلنت: دندانپزشک در مراحل اولیه تحلیل، با ابزار مخصوص جرم و باکتری های اطراف ایمپلنت را پاک می کند تا التهاب کاهش یابد. این روش از پیشرفت تخریب استخوان جلوگیری می کند و معمولا همراه با دهانشویه یا لیزر انجام می شود.
- جراحی بازسازی استخوان: در صورت از بین رفتن بخش قابل توجهی از استخوان، با پیوند مواد استخوانی (طبیعی یا مصنوعی) حجم استخوان بازسازی می شود. این کار به افزایش استحکام فک و حفظ ایمپلنت کمک می کند.
- تعویض ایمپلنت درصورت لق شدن کامل: اگر تحلیل شدید باشد و ایملنت لق شده باشد، باید ابتدا خارج شود. سپس پس از پیوند و ترمیم استخوان، ایمپلنت جدید در موقعیت کاشته می شود.
تفاوت تحلیل استخوان اطراف ایمپلنت و اطراف دندان طبیعی
| مورد مقایسه | تحلیل استخوان اطراف دندان طبیعی | تحلیل استخوان اطراف ایمپلنت |
| علت اصلی | التهاب لثه و بیماری های پریودنتال ناشی از تجمع پلاک و باکتری | فشار مکانیکی زیاد، کاشت نادرست یا جوش نخوردن کامل ایمپلنت با استخوان |
| نوع بافت درگیر | بافت طبیعی دندان و لیگامان پریودنتال (رباط اطراف ریشه دندان) | بافت استخوانی اطراف پایه تیتانیومی ایمپلنت |
| شروع فرآیند تحلیل | از لثه آغاز می شود و به مرور به استخوان سرایت می کند. | مستقیما در استخوان فک اطراف ایمپلنت اتفاق می افتد. |
| عوامل موثر تشدید کننده | بهداشت ضعیف دهان، تجمع پلاک، سیگار، دیابت | فشار زیاد هنگام جویدن، عدم تراز مناسب تاج، سیگار، عفونت موضعی |
| نحوه درمان | جرم گیری، جراحی لثه و کنترل عفونت | تمیز کردن عمقی، بازسازی استخوان یا در موارد شدید تعویض ایمپلنت |
| پیشگیری | رعایت بهداشت دهان، جرم گیری دوره ای، کنترل بیماری لثه | انتخاب دندانپزشک متخصص، تنظیم صحیح ایمپلنت، مراقبت و معاینه دوره ای |
نتیجه گیری
ایمپلنت دندان به طور کلی نه تنها باعث تحلیل استخوان فک نمی شود، بلکه با انتقال فشار جویدن به استخوان، از تحلیل آن جلوگیری می کند. با این حال، عواملی مانند عفونت لثه، کاشت نادرست یا رعایت نکردن بهداشت می توانند ریسک تحلیل استخوان اطراف ایمپلنت است. استفاده از روش های پیشگیری و درمان های مناسب می تواند ماندگاری ایمپلنت را تضمین کند. برای مشاوره تخصصی و کاشت ایمپلنت با کیفیت، همین امروز با کلینیک دندانپزشکی آمیتیس تماس بگیرید.
بیشتر بخوانید: تفاوت اوردنچر با ایمپلنت دندان
سوالات متداول
۱. آیا ممکن است تحلیل استخوان فک باعث درد شود؟
بله؛ در مراحل پیشرفته ممکن است درد یا احساس فشار در ناحیه ایمپلنت ایجاد شود. در مراحل اولیه معمولا بدون درد است و فقط با عکس برداری مشخص می شود.
۲. اگر استخوان فکم ضعیف باشد، آیا باز هم می توانم ایمپلنت بکارم؟
بله؛ دندانپزشک می تواند با روش هایی مانند پیوند استخوان یا سینوس لیفت تراکم استخوان را افزایش دهد تا شرایط برای کاشت ایمپلنت فراهم شود.
۳. چه زمانی خطر تحلیل استخوان بعد از کاشت ایمپلنت بیشتر است؟
سه تا شش ماه اول پس از جراحی بیشترین اهمیت را دارد، زیرا در این مدت فرایند جوش خوردن ایمپلنت با استخوان در حال انجام است و هرگونه التهاب یا فشار اضافی باعث تحلیل استخوان می شود.
۴. آیا تحلیل استخوان اطراف ایمپلنت قابل بازسازی است؟
در بسیاری از موارد بله؛ با انجام پیوند استخوان یا درمان های ترمیمی می توان حجم از دست رفته استخوان را تا حد زیادی بازسازی کرد، به شرطی که کاملا از بین رفته باشد.
بیشتر بخوانید: ایمپلنت دو دندان کنار هم
۵. آیا داروهایی برای درمان تحلیل استخوان فک اطراف ایمپلنت وجود دارد؟
بله؛ مصرف برخی داروها مانند بیس فسفونات ها ( در درمان پوکی استخوان) یا داروهای خاص شیمی درمانی می تواند روند بازسازی استخوان را کند کرده و خطر تحلیل را افزایش می دهد.
۶. چگونه می توان تحلیل استخوان را در مراحل اولیه تشخیص داد؟
تشخیص زودهنگام معمولا با عکس برداری رادیوگرافی یا CBCT امکان پذیر است. دندانپزشک در معاینات دوره ای، با بررسی تغییرات تراکم استخوان اطراف ایمپلنت می تواند این مشکل را زود شناسایی کند.






